JavaScript is disabled in your browser. Please enable JavaScript to view this website.

Anti-Histone H2A.X antibody - ChIP Grade(AB20669)

$undefined

Anti-Histone H2A.X antibody - ChIP Grade(AB20669)

Anti-Histone H2A.X antibody - ChIP Grade(AB20669)

Anti-Histone H2A.X antibody - ChIP Grade(AB20669)

Anti-Histone H2A.X antibody - ChIP Grade(AB20669)

Anti-Histone H2A.X antibody - ChIP Grade(AB20669)

Anti-Histone H2A.X antibody - ChIP Grade(AB20669)

Anti-Histone H2A.X antibody - ChIP Grade(AB20669)

Anti-Histone H2A.X antibody - ChIP Grade(AB20669)

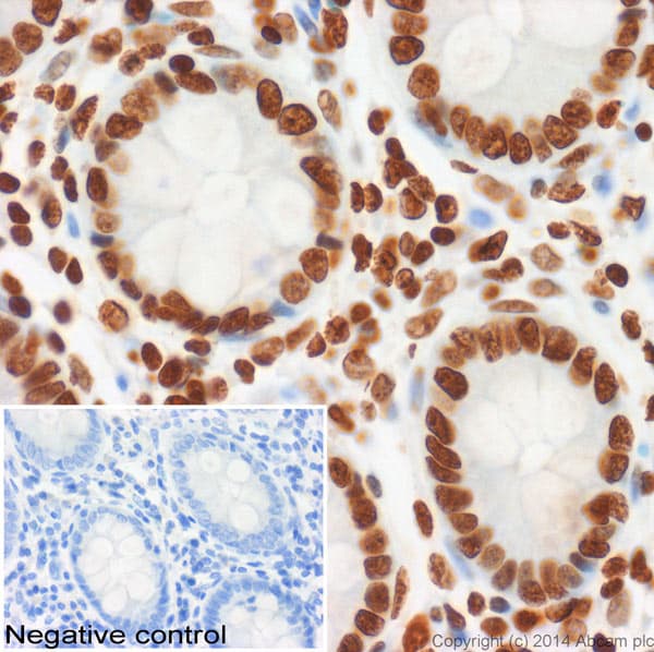
Rabbit Polyclonal H2A.X antibody. Suitable for IHC-P, IP, ChIP, WB, ICC/IF and reacts with Human, Rat, Mouse samples. Cited in 30 publications.
Specifications
Shipped At Conditions Blue Ice
Appropriate Long term Storage Conditions Store at -20°C.
Clonality Polyclonal
Applications ChIP, ICC/IF, IHC-P, IP, WB
Species Reactivity Human, Mouse, Rat
Isotype IgG