Immunohistochemistry (Formalin/PFA-fixed paraffin-embedded sections) - Anti-PD-L1 antibody [28-8] (ab205921)
Formalin-fixed, paraffin-embedded human lung cancer tissue stained for PD-L1 using ab205921.
Representative images of PD-L1 expression.
(A) <1.0%, (B) 1.0–4.9%, (C) 5.0–9.9%, (D) 10.0–49.9%, and (E) ≥50.0% PD-L1-positive cells (magnification, 200×).
From image 3 of Nakamura et al.
Nakamura et al PLoS One. 2017; 12(10): e0186192. Published online 2017 Oct 19. doi: 10.1371/journal.pone.0186192' PMID: 29049375
|Reproduced under Creative Commons Attribution License, which permits unrestricted use, distribution, and reproduction in any medium, provided the original author and source are credited.
Nakamura et al PLoS One. 2017; 12(10): e0186192. Published online 2017 Oct 19. doi: 10.1371/journal.pone.0186192
![Immunohistochemistry (Formalin/PFA-fixed paraffin-embedded sections) - Anti-PD-L1 antibody [28-8] (ab205921)](./media_13165397202efe8a2d55aa7ce456cfdf4d69f5430.avif?width=750&format=avif&optimize=medium)
Immunohistochemistry (Formalin/PFA-fixed paraffin-embedded sections) - Anti-PD-L1 antibody [28-8] (ab205921)
IHC image of ab205921 staining PD-L1 in human tonsil formalin fixed paraffin embedded tissue sections*, performed on a Leica BOND RX (Polymer Refine kit). The section was pre-treated using heat mediated antigen retrieval with EDTA buffer (pH9, epitope retrieval solution 2) for 30 mins at 98°C. The section was then incubated with ab205921, 5μg/ml working concentration, for 60 mins at room temperature and detected using an HRP conjugated compact polymer system for 8 minutes at room temperature. DAB was used as the chromogen for 10 minutes at room temperature. The section was then counterstained with hematoxylin, blued, dehydrated, cleared and mounted with DPX.
For other IHC staining systems (automated and non-automated) customers should optimize variable parameters such as antigen retrieval conditions, primary antibody concentration and antibody incubation times.
*Tissue obtained from the Human Research Tissue Bank, supported by the NIHR Cambridge Biomedical Research Centre

Immunocytochemistry/ Immunofluorescence - Anti-PD-L1 antibody [28-8] (ab205921)
Immunocytochemistry analysis of CHO-PDL1 (PD-L1 stably expessed Chinese hamster ovary epithelial cell) labeling PD-L1 with purified ab205921 at 1/400 dilution. Cells were fixed with 4% Paraformaldehyde and permeabilised with 0.1% tritonX-100. Goat anti rabbit IgG (Alexa Fluor® 488, ab150077) at 1/1000 (2 μg/ml) was used as the secondary antibody. ab195889 Anti-alpha Tubulin antibody [DM1A] - Microtubule Marker (Alexa Fluor® 594) 1/200 (2.32 μg/ml) was used as counterstain. Nuclei were stained blue with DAPI.
Negative controls: Cells not transfected with PD-L1, and both the transfected and mock tranfected cells without the primary antibody.
Filter by
All applications
26 Images for All applications

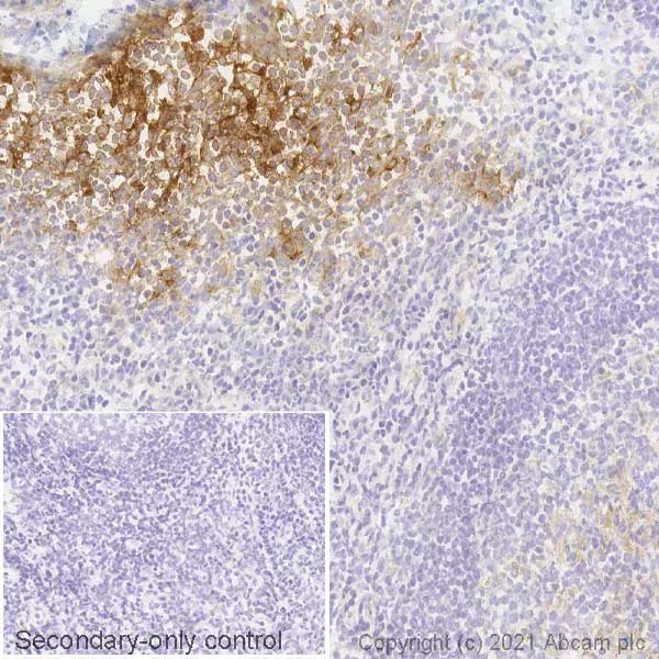
Immunohistochemistry (Frozen sections) - Anti-PD-L1 antibody [28-8] (ab205921)
IHC image of PD-L1 staining in a section of frozen normal human tonsil* performed on a Leica BOND™ system using the standard protocol. The section was fixed in 10% paraformaldehyde (10 min) prior to staining. The section was incubated with ab205921, 1ugml, for 15 mins at room temperature and detected using an HRP conjugated compact polymer system. DAB was used as the chromogen. The section was then counterstained with haematoxylin and mounted with DPX. The inset secondary-only control image is taken from an identical assay without primary antibody.
For other IHC staining systems (automated and non-automated) customers should optimize variable parameters such as antigen retrieval conditions, primary antibody concentration and antibody incubation times.
*Tissue obtained from the Human Research Tissue Bank, supported by the NIHR Cambridge Biomedical Research Centre
