JavaScript is disabled in your browser. Please enable JavaScript to view this website.

Donkey Anti-Goat IgG H&L (HRP)(AB205723)

$undefined

Donkey Anti-Goat IgG H&L (HRP)(AB205723)

Donkey Anti-Goat IgG H&L (HRP)(AB205723)

Donkey Anti-Goat IgG H&L (HRP)(AB205723)

Donkey Anti-Goat IgG H&L (HRP)(AB205723)

Donkey Anti-Goat IgG H&L (HRP)(AB205723)

Donkey Anti-Goat IgG H&L (HRP)(AB205723)

Donkey Anti-Goat IgG H&L (HRP)(AB205723)

Donkey Anti-Goat IgG H&L (HRP)(AB205723)

Donkey Anti-Goat IgG H&L (HRP)(AB205723)

Donkey Anti-Goat IgG H&L (HRP)(AB205723)

Donkey Anti-Goat IgG H&L (HRP)(AB205723)

Donkey Anti-Goat IgG H&L (HRP)(AB205723)

Donkey Anti-Goat IgG H&L (HRP)(AB205723)

Donkey Anti-Goat IgG H&L (HRP)(AB205723)

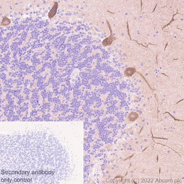
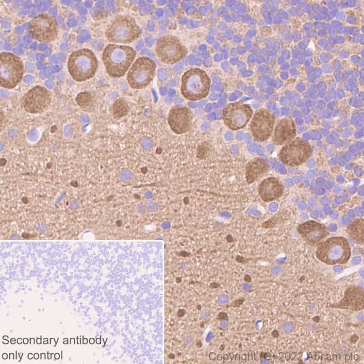
Suitable for ELISA, IP, IHC-P, WB. Ideal for western blot. Cited in 31 publications.
Specifications
Shipped At Conditions Blue Ice
Appropriate Long term Storage Conditions Store at -20°C.
Clonality Polyclonal
Applications ELISA, IHC-P, IP, WB
Isotype IgG
Conjugation HRP
CAS Number Heavy & Light chains