JavaScript is disabled in your browser. Please enable JavaScript to view this website.

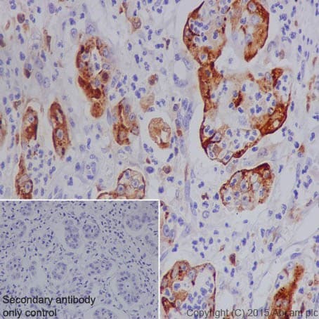
Anti-MMP7 antibody [EPR17888-101](AB205525)

$undefined

Anti-MMP7 antibody [EPR17888-101](AB205525)

Anti-MMP7 antibody [EPR17888-101](AB205525)

Anti-MMP7 antibody [EPR17888-101](AB205525)

Anti-MMP7 antibody [EPR17888-101](AB205525)

Anti-MMP7 antibody [EPR17888-101](AB205525)

Anti-MMP7 antibody [EPR17888-101](AB205525)

Anti-MMP7 antibody [EPR17888-101](AB205525)

Rabbit Recombinant Monoclonal MMP7 antibody. Suitable for WB, IHC-P and reacts with Human samples. Cited in 26 publications.
Specifications
Shipped At Conditions Blue Ice
Appropriate Long term Storage Conditions Store at -20°C.
Clonality Monoclonal
Applications IHC-P, WB
Species Reactivity Human
Isotype IgG