JavaScript is disabled in your browser. Please enable JavaScript to view this website.

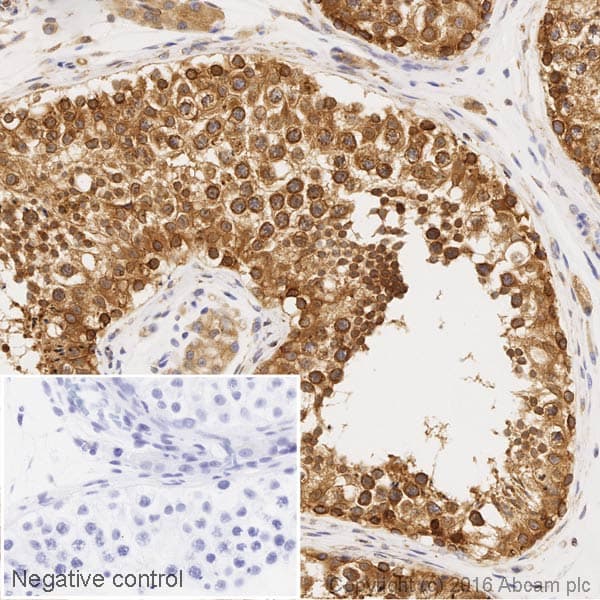
HRP Anti-RanGAP1 antibody [EPR3295]

$undefined

HRP Anti-RanGAP1 antibody [EPR3295]

HRP Anti-RanGAP1 antibody [EPR3295]

Rabbit Recombinant Monoclonal RanGAP1 antibody - conjugated to HRP. Suitable for IHC-P, WB and reacts with Human samples.
Specifications
Shipped At Conditions Blue Ice
Appropriate Long term Storage Conditions Store at -20°C.
Clonality Monoclonal
Applications Human
Species Reactivity IHC-P, WB
Isotype IgG
Conjugation HRP