JavaScript is disabled in your browser. Please enable JavaScript to view this website.

Anti-EAAT2 antibody [EPR19794](AB205247)

$undefined

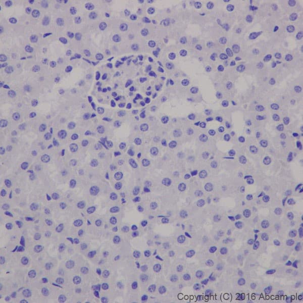
Eaat2 Antibody Epr19794 Ab205247  Immunohistochemistry Formalin Pfa Fixed Paraffin Embedded Sections Img25229

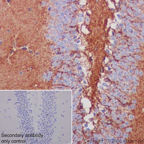
Eaat2 Antibody Epr19794 Ab205247  Immunohistochemistry Formalin Pfa Fixed Paraffin Embedded Sections Img65445

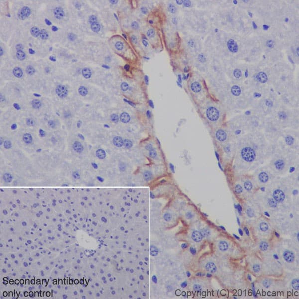
Eaat2 Antibody Epr19794 Ab205247  Immunohistochemistry Formalin Pfa Fixed Paraffin Embedded Sections Img89507

Eaat2 Antibody Epr19794 Ab205247  Immunoprecipitation Img22064

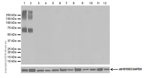
Eaat2 Antibody Epr19794 Ab205247  Western Blot Img27765

Rabbit Recombinant Monoclonal EAAT2 antibody. Suitable for IP, WB, IHC-P and reacts with Rat, Mouse samples. Cited in 3 publications.
Specifications
Shipped At Conditions Blue Ice
Appropriate Long term Storage Conditions Store at -20°C.
Clonality Monoclonal
Applications Mouse, Rat
Species Reactivity IHC-P, IP, WB
Isotype IgG