JavaScript is disabled in your browser. Please enable JavaScript to view this website.

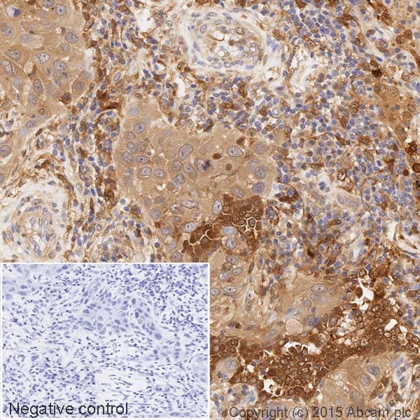
HRP Anti-Galectin 3 antibody [EP2775Y](AB202553)

$undefined

HRP Anti-Galectin 3 antibody [EP2775Y](AB202553)

HRP Anti-Galectin 3 antibody [EP2775Y](AB202553)

Rabbit Recombinant Monoclonal Galectin 3 antibody - conjugated to HRP. Suitable for IHC-P, WB and reacts with Human samples.
Specifications
Shipped At Conditions Blue Ice
Appropriate Long term Storage Conditions Store at -20°C.
Clonality Monoclonal
Applications IHC-P, WB
Species Reactivity Human
Isotype IgG
Conjugation HRP