JavaScript is disabled in your browser. Please enable JavaScript to view this website.

Anti-beta Amyloid 1-42 antibody [mOC64](AB201060)

$undefined

Beta Amyloid 1 42 Antibody Moc64 Ab201060  Dot Blot Img139322

Beta Amyloid 1 42 Antibody Moc64 Ab201060  Dot Blot Img29398

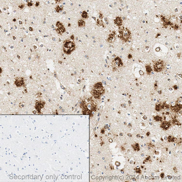
Beta Amyloid 1 42 Antibody Moc64 Ab201060  Immunohistochemistry Formalin Pfa Fixed Paraffin Embedded Sections Img439655

Beta Amyloid 1 42 Antibody Moc64 Ab201060  Immunohistochemistry Formalin Pfa Fixed Paraffin Embedded Sections Img451327

Anti-beta Amyloid 1-42 antibody [mOC64] ab201060 is a rabbit monoclonal antibody that is used in beta Amyloid 1-42 IHC. Suitable for human, mouse and rat samples.

- Recombinant format for unrivaled batch-batch consistency: no need for same-lot requests
- Validated on the Leica BOND™ RX automated IHC staining platform for Rabbit IHC
- Antibody clone mOC64 is cited in over 110 publications
New 20 ul size available
Specifications
Shipped At Conditions Blue Ice
Appropriate Long term Storage Conditions Store at -20°C.
Clonality Monoclonal
Applications Human, Mouse, Rat
Species Reactivity Dot, IHC-FrFl, IHC-P
Isotype IgG