JavaScript is disabled in your browser. Please enable JavaScript to view this website.

Anti-C3 antibody [EPR19394](AB200999)

$undefined

Anti-C3 antibody [EPR19394](AB200999)

Anti-C3 antibody [EPR19394](AB200999)

Anti-C3 antibody [EPR19394](AB200999)

Anti-C3 antibody [EPR19394](AB200999)

Anti-C3 antibody [EPR19394](AB200999)

Anti-C3 antibody [EPR19394](AB200999)

Anti-C3 antibody [EPR19394](AB200999)

Anti-C3 antibody [EPR19394](AB200999)

Anti-C3 antibody [EPR19394](AB200999)

Anti-C3 antibody [EPR19394](AB200999)

Anti-C3 antibody [EPR19394](AB200999)

Anti-C3 antibody [EPR19394](AB200999)

Anti-C3 antibody [EPR19394](AB200999)

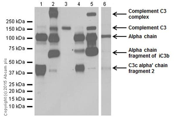
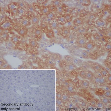
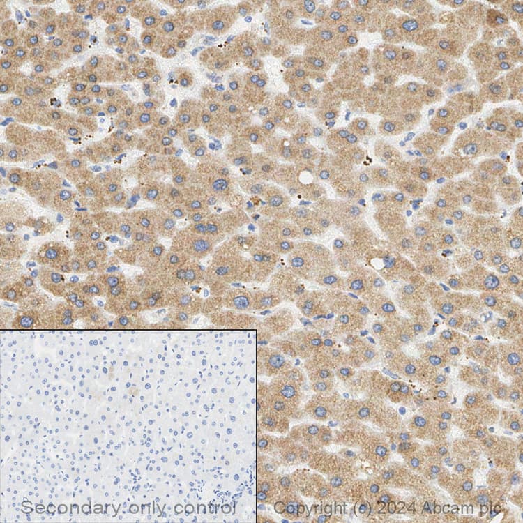
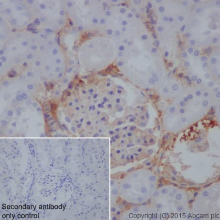
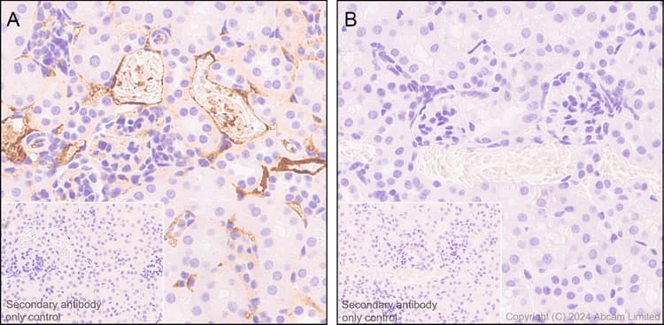
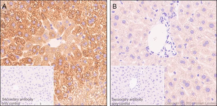
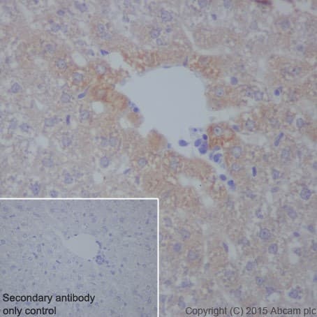
Anti-C3/C3b antibody [EPR19394] ab200999 is a rabbit monoclonal antibody that is used in C3/C3b western blotting and IHC. Suitable for human, mouse and rat samples.

- Recombinant format for unrivaled batch-batch consistency: no need for same-lot requests
- Specificity and sensitivity confirmed in IHC with multi-tissue microarray (TMA) validation
- Antibody clone EPR19394 is cited in over 90 publications
Specifications
Shipped At Conditions Blue Ice
Appropriate Long term Storage Conditions Store at -20°C.
Clonality Monoclonal
Applications Human, Mouse, Rat
Species Reactivity IHC-P, WB
Isotype IgG