JavaScript is disabled in your browser. Please enable JavaScript to view this website.

Anti-Oct4 antibody [EPR17980](AB200834)

$undefined

Anti-Oct4 antibody [EPR17980](AB200834)

Anti-Oct4 antibody [EPR17980](AB200834)

Anti-Oct4 antibody [EPR17980](AB200834)

Anti-Oct4 antibody [EPR17980](AB200834)

Anti-Oct4 antibody [EPR17980](AB200834)

Anti-Oct4 antibody [EPR17980](AB200834)

Anti-Oct4 antibody [EPR17980](AB200834)

Anti-Oct4 antibody [EPR17980](AB200834)

Anti-Oct4 antibody [EPR17980](AB200834)

Anti-Oct4 antibody [EPR17980](AB200834)

Anti-Oct4 antibody [EPR17980](AB200834)

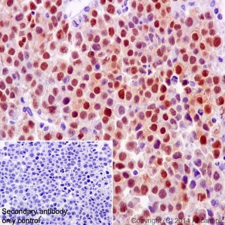
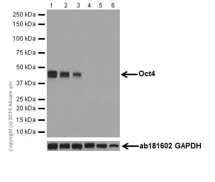
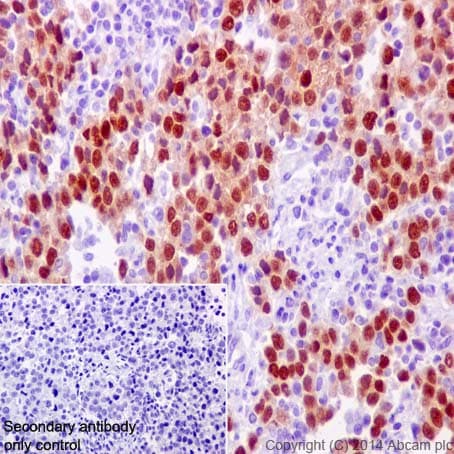
Rabbit Recombinant Monoclonal Oct4 antibody. Suitable for ChIC/CUT&RUN-seq, ChIP-seq, IP, WB, ICC/IF, Flow Cyt (Intra), IHC-P and reacts with Human, Mouse samples. Cited in 33 publications.
Specifications
Shipped At Conditions Blue Ice
Appropriate Long term Storage Conditions Store at -20°C.
Clonality Monoclonal
Applications Human, Mouse
Species Reactivity ChIC/CUT&RUN-seq, ChIP-seq, Flow Cyt (Intra), ICC/IF, IHC-P, IP, WB
Isotype IgG