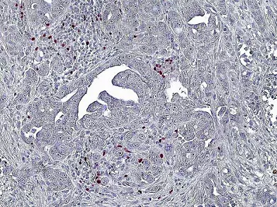
Immunohistochemistry (Formalin/PFA-fixed paraffin-embedded sections) - Anti-FOXP3 antibody [236A/E7] (ab20034)
Immunohistochemical analysis of human large and locally advanced breast cancers staining FOXP3 using ab20034. (a) Low level of FOXP3+, CTLA-4+ Treg infiltration (b) High level of FOXP3+ and CTLA-4+ Treg infiltration. (Itu: intratumoral Str: stromal)
This image was generated from the hybridoma version of the product.
This image is from PubMedId: 27777963. Kaewkangsadan V et al. (2016) Reproduced under the Creative Commons license https://creativecommons.org/licenses/by/4.0/

Immunohistochemistry (Formalin/PFA-fixed paraffin-embedded sections) - Anti-FOXP3 antibody [236A/E7] (ab20034)
FoxP3+ cells mainly accumulate centrally.
The formalin-fixed, paraffin-embedded blocks were cut into approximately <2 μm thick slices and mounted on SuperFrost Plus microscope slides (Menzel Gläser, Braunschweig, Germany). After deparaffinization and rehydration, sections were immersed into Dako Target Retrieval solution (Dako North America Inc., Carpinteria, USA), pH 6, 1/10, incubated at 97°C–99°C at 750 Watt for 2x 15 minutes, and allowed to cool to room temperature for 20 minutes. Endogenous peroxidase activity was blocked by 10-minute incubation in 7.5% hydrogen-peroxide solution (Hydroxen Peroxide Solution, Sigma Aldrich Co., Munich, Germany). Immunohistochemical staining for FoxP3 (1/180 dilution; for 60 min) was performed according to standard procedure using MACH-3 mouse alkalic phosphatase polymer detection kit from Biocare Medical Systems (Concord, USA). The slides were incubated with monoclonal mouse antibody. Chromogen Red (Dako North Amerika Inc., Carpinteria, USA) was used as chromogen for FoxP3 staining, and lastly hematoxylin counterstaining was done (Vector Laboratories, Burlingam, USA).
This image was generated from the hybridoma version of the product.
Hermans C. et al PLoS One. 2014 Nov 3;9(11):e111757. doi: 10.1371/journal.pone.0111757. eCollection 2014. Reproduced under the Creative Commons license http://creativecommons.org/licenses/by/4.0/
![Immunohistochemistry (Formalin/PFA-fixed paraffin-embedded sections) - Anti-FOXP3 antibody [236A/E7] (ab20034)](./media_10f46207b8d14000926805a003b2f21c2e84609ad.avif?width=750&format=avif&optimize=medium)
Western blot - Anti-FOXP3 antibody [236A/E7] (ab20034)
All lanes:
Western blot - Anti-FOXP3 antibody [236A/E7] (ab20034) at 1/1000 dilution
All lanes:
Human mammary gland lysate at 20 µg
Predicted band size: 47 kDa
![Western blot - anti-FOXP3 antibody [236A/E7] (ab20034) at 1/1000 dilution Human mammary gland lysate at 20 µg](./media_1650a4154ed8e6df61b8832b0572fb607e92748f9.avif?width=750&format=avif&optimize=medium)
Western blot - Anti-FOXP3 antibody [236A/E7] (ab20034)
ab20034 detects Human FOXP3 protein at ~50 kDa in HEK293T cells overexpressing the protein. It also detects FOXP3 in Human tonsil tissue lysate, however this band is significantly weaker in endogenous conditions. Upon higher exposure, weak bands can also be observed in HEK293T cell lysate.
This blot was produced using a 4-12% Bis-Tris gel under the MOPS buffer system. The gel was run at 200V for 60 minutes before being transferred onto a nitrocellulose membrane at 30V for 70 minutes. The membrane was then blocked for an hour before being incubated with Anti-FOXP3 antibody [236A/E7] (ab20034; 5 microgram per mL) overnight at 4°C. Antibody binding was detected using infrared labelled goat anti-mouse (green; 1:10000) for 1 hour at room temperature before imaging.
All lanes:
Western blot - Anti-FOXP3 antibody [236A/E7] (ab20034) at 5 µg/mL
Lane 1:
HEK293T cell lysate at 20 µg
Lane 2:
HEk293T cell lysate overexpressing Human FOXP3 at 20 µg
Lane 3:
Human tonsil tissue lysate at 20 µg
Performed under reducing conditions.
Predicted band size: 47 kDa
![Western blot - Anti-FOXP3 antibody [236A/E7] (ab20034) at 5 µg/mL Lane 1: HEK293T cell lysate at 20 µg Lane 2: HEk293T cell lysate overexpressing Human FOXP3 at 20 µg Lane 3: Human tonsil tissue lysate at 20 µg](./media_13d25d0fc4e9851de454bd3f2d21744c541be5090.avif?width=750&format=avif&optimize=medium)
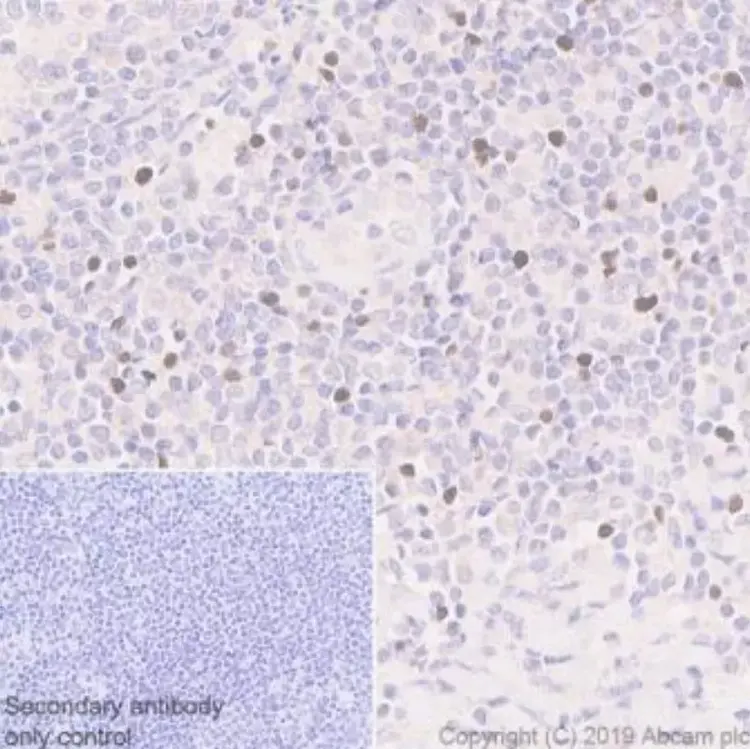
Immunohistochemistry (Formalin/PFA-fixed paraffin-embedded sections) - Anti-FOXP3 antibody [236A/E7] (ab20034)
Immunohistochemical analysis of paraffin-embedded human tonsil tissue labeling FOXP3 with ab23004 at 1/500 dilution, followed by a ready to use Goat Anti-Mouse IgG. Counterstained with hematoxylin.
Secondary antibody only control: Used PBS instead of primary antibody, secondary antibody is a ready to use Goat Anti-Mouse IgG.
Perform heat mediated antigen retrieval using Tris/EDTA buffer (pH 9.0).

Western blot - Anti-FOXP3 antibody [236A/E7] (ab20034)
All lanes:
Western blot - Anti-FOXP3 antibody [236A/E7] (ab20034) at 1/1000 dilution
Lane 1:
HEK-293 (human embryonic kidney) transfected with an empty vector (vector control), containing a GFP-Myc-tag, whole cell lysate at 10 µg
Lane 2:
HEK-293 transfected with FOXP3 (WT) expression vector containing a GFP-Myc-tag, whole cell lysate at 10 µg
Predicted band size: 47 kDa
Exposure time: 1s
![Western blot - Anti-FOXP3 antibody [236A/E7] (ab20034) at 1/1000 dilution Lane 1: HEK-293 cells with empty vector control (GFP-Myc-tag). Lane 2: HEK-293 cells expressing FOXP3 (wild type) with GFP-Myc-tag](./media_1a12a6435677c06f4e41379db2b65503502709af2.avif?width=750&format=avif&optimize=medium)