JavaScript is disabled in your browser. Please enable JavaScript to view this website.

Anti-Interferon alpha 2 antibody(AB198914)

$undefined

Anti-Interferon alpha 2 antibody(AB198914)

Anti-Interferon alpha 2 antibody(AB198914)

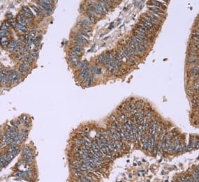
Rabbit Polyclonal Interferon alpha 2 antibody. Suitable for IHC-P and reacts with Human samples. Immunogen corresponding to Synthetic Peptide within Human IFNA2.
Specifications
Shipped At Conditions Blue Ice
Appropriate Long term Storage Conditions Store at -20°C.
Clonality Polyclonal
Applications Human
Species Reactivity IHC-P
Isotype IgG