JavaScript is disabled in your browser. Please enable JavaScript to view this website.

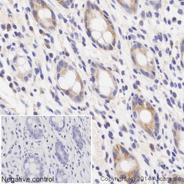
Biotin Anti-gamma Tubulin antibody [EPR13872] - Centrosome Marker(AB197629)

$undefined

Biotin Anti-gamma Tubulin antibody [EPR13872] - Centrosome Marker(AB197629)

Rabbit Recombinant Monoclonal Gamma-2-tubulin antibody - conjugated to Biotin. Centrosome marker. Suitable for IHC-P and reacts with Human samples. Cited in 1 publication.
Specifications
Shipped At Conditions Blue Ice
Appropriate Long term Storage Conditions Store at -20°C.
Clonality Monoclonal
Applications IHC-P
Species Reactivity Human
Isotype IgG
Conjugation Biotin