JavaScript is disabled in your browser. Please enable JavaScript to view this website.

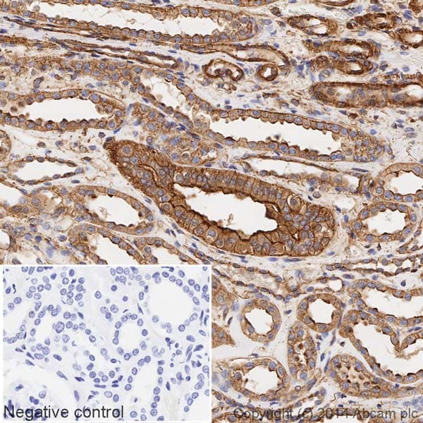
HRP Anti-alpha smooth muscle Actin (acetyl E3) + ACTG2 (acetyl E3) antibody [E184](AB196920)

$undefined

Hrp Alpha Smooth Muscle Actin Acetyl E3 Actg2 Acetyl E3 Antibody E184 Ab196920  Immunohistochemistry Formalin Pfa Fixed Paraffin Embedded Sections Img81041

Hrp Alpha Smooth Muscle Actin Acetyl E3 Actg2 Acetyl E3 Antibody E184 Ab196920  Western Blot Img32129

Rabbit Recombinant Monoclonal alpha smooth muscle Actin acetyl E3 antibody - conjugated to HRP. Suitable for IHC-P, WB and reacts with Human samples.
Specifications
Shipped At Conditions Blue Ice
Appropriate Long term Storage Conditions Store at -20°C.
Clonality Monoclonal
Applications Human
Species Reactivity IHC-P, WB
Isotype IgG
Conjugation HRP