JavaScript is disabled in your browser. Please enable JavaScript to view this website.

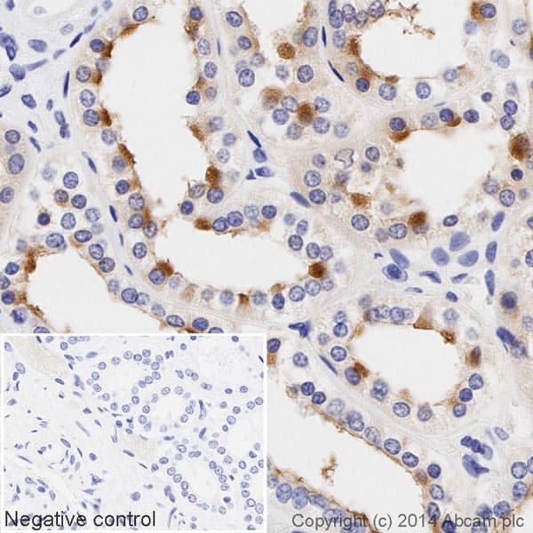
HRP Anti-MUC1 antibody [EPR1023](AB195936)

$undefined

HRP Anti-MUC1 antibody [EPR1023](AB195936)

Rabbit Recombinant Monoclonal MUC1 antibody - conjugated to HRP. Suitable for IHC-P and reacts with Human samples. Cited in 2 publications.
Specifications
Shipped At Conditions Blue Ice
Appropriate Long term Storage Conditions Store at -20°C.
Clonality Monoclonal
Applications IHC-P
Species Reactivity Human
Isotype IgG
Conjugation HRP