JavaScript is disabled in your browser. Please enable JavaScript to view this website.

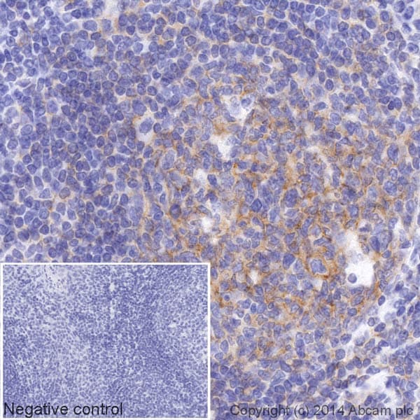
HRP Anti-CD19 antibody [EPR5906](AB195896)

$undefined

HRP Anti-CD19 antibody [EPR5906](AB195896)

HRP Anti-CD19 antibody [EPR5906](AB195896)

Rabbit Recombinant Monoclonal CD19 antibody - conjugated to HRP. Suitable for IHC-P, WB and reacts with Human samples.
Specifications
Shipped At Conditions Blue Ice
Appropriate Long term Storage Conditions Store at -20°C.
Clonality Monoclonal
Applications IHC-P, WB
Species Reactivity Human
Isotype IgG
Conjugation HRP