JavaScript is disabled in your browser. Please enable JavaScript to view this website.

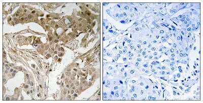
Anti-c-Fos (phospho T232) antibody(AB193365)

$undefined

Anti-c-Fos (phospho T232) antibody(AB193365)

Anti-c-Fos (phospho T232) antibody(AB193365)

Rabbit Polyclonal c-Fos phospho T232 antibody. Suitable for WB, IHC-P and reacts with African green monkey, Human samples. Cited in 2 publications. Immunogen corresponding to Synthetic Peptide within Human FOS phospho T232 conjugated to Keyhole Limpet Haemocyanin.
Specifications
Shipped At Conditions Blue Ice
Appropriate Long term Storage Conditions Store at -20°C.
Clonality Polyclonal
Applications African green monkey, Human
Species Reactivity IHC-P, WB
Isotype IgG