JavaScript is disabled in your browser. Please enable JavaScript to view this website.

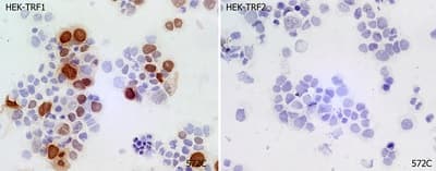
Anti-TRF1 antibody [572C](AB192629)

$undefined

Anti-TRF1 antibody [572C](AB192629)

Anti-TRF1 antibody [572C](AB192629)

Anti-TRF1 antibody [572C](AB192629)

Anti-TRF1 antibody [572C](AB192629)

Anti-TRF1 antibody [572C](AB192629)

Rat Monoclonal TRF1 antibody. Suitable for WB, ICC/IF and reacts with Mouse, Human samples. Cited in 2 publications. Immunogen corresponding to Recombinant Full Length Protein corresponding to Mouse Telomeric repeat-binding factor 1.
Specifications
Shipped At Conditions Blue Ice
Appropriate Long term Storage Conditions Store at +4°C.
Clonality Monoclonal
Applications ICC/IF, WB
Species Reactivity Human, Mouse
Isotype IgG2a