JavaScript is disabled in your browser. Please enable JavaScript to view this website.

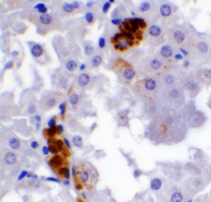
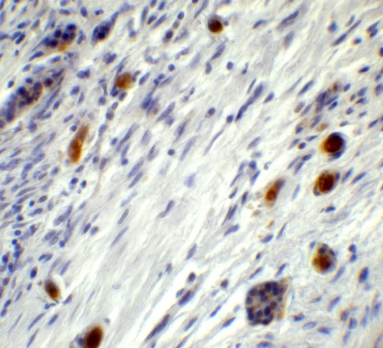
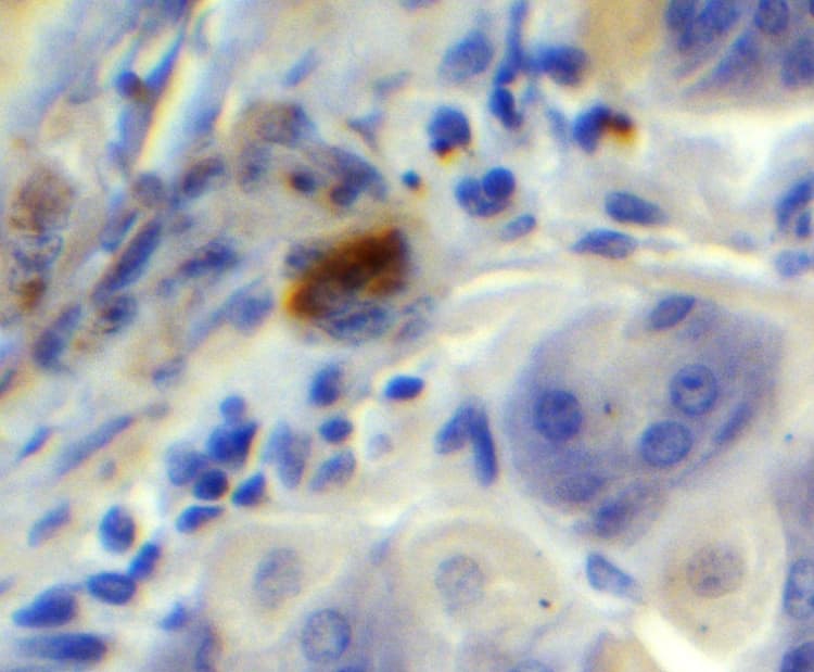
Anti-PGC1 alpha antibody(AB191838)

$undefined

Anti-PGC1 alpha antibody(AB191838)

Anti-PGC1 alpha antibody(AB191838)

Anti-PGC1 alpha antibody(AB191838)

Anti-PGC1 alpha antibody(AB191838)

Anti-PGC1 alpha antibody(AB191838)

Anti-PGC1 alpha antibody(AB191838)

Anti-PGC1 alpha antibody(AB191838)

Anti-PGC1 alpha antibody(AB191838)

Anti-PGC1 alpha antibody ab191838 is a rabbit polyclonal antibody that is used in PGC1 alpha western blotting, IHC and immunofluorescence. Suitable for human, mouse and rat samples.
Specifications
Shipped At Conditions Blue Ice
Appropriate Long term Storage Conditions Store at -20°C.
Clonality Polyclonal
Applications ICC/IF, IHC-P, WB
Species Reactivity Human, Mouse, Rat
Isotype IgG