JavaScript is disabled in your browser. Please enable JavaScript to view this website.

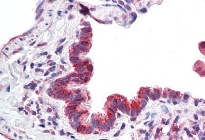
Anti-MICU1 antibody(AB190114)

$undefined

Anti-MICU1 antibody(AB190114)

Anti-MICU1 antibody(AB190114)

Goat Polyclonal MICU1 antibody. Suitable for WB, IHC-P and reacts with Human samples. Cited in 3 publications. Immunogen corresponding to Synthetic Peptide within Human Calcium uptake protein 1, mitochondrial aa 100-150.
Specifications
Shipped At Conditions Blue Ice
Appropriate Long term Storage Conditions Store at -20°C.
Clonality Polyclonal
Applications IHC-P, WB
Species Reactivity Human
Isotype IgG