JavaScript is disabled in your browser. Please enable JavaScript to view this website.

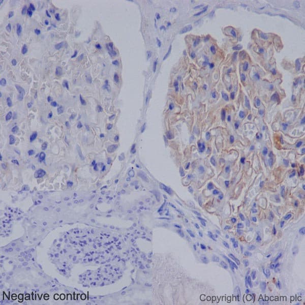
Anti-C1QA antibody [EPR14634](AB189922)

$undefined

Anti-C1QA antibody [EPR14634](AB189922)

Anti-C1QA antibody [EPR14634](AB189922)

Anti-C1QA antibody [EPR14634](AB189922)

Anti-C1QA antibody [EPR14634](AB189922)

Rabbit Recombinant Monoclonal C1QA antibody. Suitable for WB, IHC-P and reacts with Rat, Human samples. Cited in 3 publications.
Specifications
Shipped At Conditions Blue Ice
Appropriate Long term Storage Conditions Store at -20°C.
Clonality Monoclonal
Applications ICC/IF, IHC-P, WB
Species Reactivity Human, Rat
Isotype IgG