JavaScript is disabled in your browser. Please enable JavaScript to view this website.

Anti-APE1 antibody [EPR18378-45] - ChIP Grade(AB189474)

$undefined

Anti-APE1 antibody [EPR18378-45] - ChIP Grade(AB189474)

Anti-APE1 antibody [EPR18378-45] - ChIP Grade(AB189474)

Anti-APE1 antibody [EPR18378-45] - ChIP Grade(AB189474)

Anti-APE1 antibody [EPR18378-45] - ChIP Grade(AB189474)

Anti-APE1 antibody [EPR18378-45] - ChIP Grade(AB189474)

Anti-APE1 antibody [EPR18378-45] - ChIP Grade(AB189474)

Anti-APE1 antibody [EPR18378-45] - ChIP Grade(AB189474)

Anti-APE1 antibody [EPR18378-45] - ChIP Grade(AB189474)

Anti-APE1 antibody [EPR18378-45] - ChIP Grade(AB189474)

Anti-APE1 antibody [EPR18378-45] - ChIP Grade(AB189474)

Anti-APE1 antibody [EPR18378-45] - ChIP Grade(AB189474)

Rabbit Recombinant Monoclonal APE1 antibody. Suitable for ChIP, WB, ICC/IF, Flow Cyt (Intra), IHC-P and reacts with Human, Mouse, Rat samples. Cited in 5 publications.
Specifications
Shipped At Conditions Blue Ice
Appropriate Long term Storage Conditions Store at -20°C.
Clonality Monoclonal
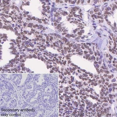
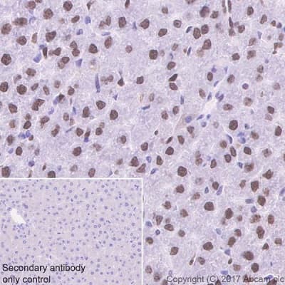
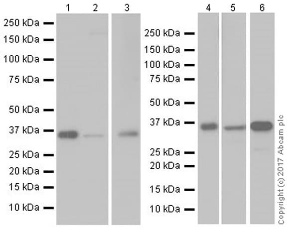
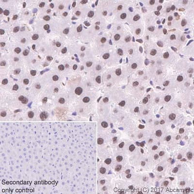
Applications ChIP, Flow Cyt (Intra), ICC/IF, IHC-P, WB
Species Reactivity Human, Mouse, Rat
Isotype IgG