JavaScript is disabled in your browser. Please enable JavaScript to view this website.

Anti-UFC1 antibody [EPR15014](AB189251)

$undefined

Anti-UFC1 antibody [EPR15014](AB189251)

Anti-UFC1 antibody [EPR15014](AB189251)

Anti-UFC1 antibody [EPR15014](AB189251)

Anti-UFC1 antibody [EPR15014](AB189251)

Anti-UFC1 antibody [EPR15014](AB189251)

Anti-UFC1 antibody [EPR15014](AB189251)

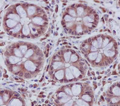
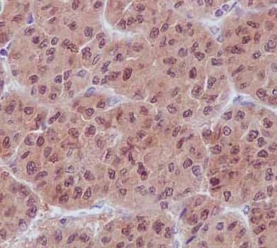
Rabbit Recombinant Monoclonal UFC1 antibody. Suitable for WB, IHC-P and reacts with Rat, Human, Mouse samples. Cited in 4 publications.
Specifications
Shipped At Conditions Blue Ice
Appropriate Long term Storage Conditions Store at -20°C.
Clonality Monoclonal
Applications IHC-P, WB
Species Reactivity Human, Mouse, Rat
Isotype IgG