JavaScript is disabled in your browser. Please enable JavaScript to view this website.

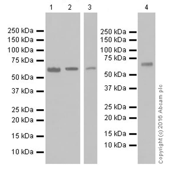
Anti-PLK1 antibody [EPR19534](AB189139)

$undefined

Anti-PLK1 antibody [EPR19534](AB189139)

Anti-PLK1 antibody [EPR19534](AB189139)

Anti-PLK1 antibody [EPR19534](AB189139)

Anti-PLK1 antibody [EPR19534](AB189139)

Anti-PLK1 antibody [EPR19534](AB189139)

Rabbit Recombinant Monoclonal PLK1 antibody. Suitable for IP, WB, ICC/IF, Flow Cyt (Intra) and reacts with Human samples. Cited in 12 publications.
Specifications
Shipped At Conditions Blue Ice
Appropriate Long term Storage Conditions Store at -20°C.
Clonality Monoclonal
Applications Flow Cyt (Intra), ICC/IF, IP, WB
Species Reactivity Human
Isotype IgG