JavaScript is disabled in your browser. Please enable JavaScript to view this website.

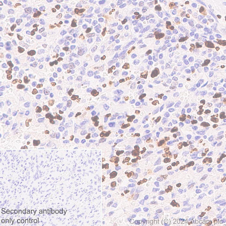
Anti-MNDA antibody [253A](AB188566)

$undefined

Anti-MNDA antibody [253A](AB188566)

Anti-MNDA antibody [253A](AB188566)

Anti-MNDA antibody [253A](AB188566)

Anti-MNDA antibody [253A](AB188566)

Anti-MNDA antibody [253A] ab188566 is a mouse monoclonal antibody that is used in MNDA western blotting, IHC and immunofluorescence. Suitable for human samples.

- Antibody clone 253A is the most widely used clone for MNDA on the market
Specifications
Shipped At Conditions Blue Ice
Appropriate Long term Storage Conditions Store at +4°C.
Clonality Monoclonal
Applications Human, Mouse
Species Reactivity ICC/IF, IHC-Fr, IHC-P, WB
Isotype IgG1