JavaScript is disabled in your browser. Please enable JavaScript to view this website.

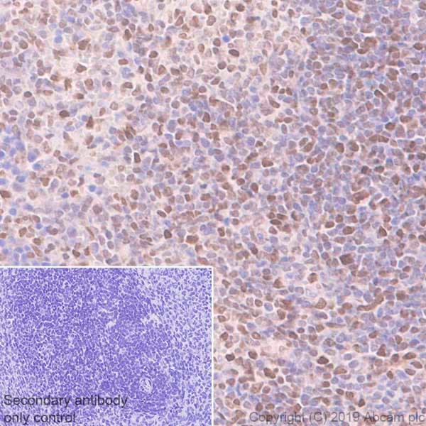
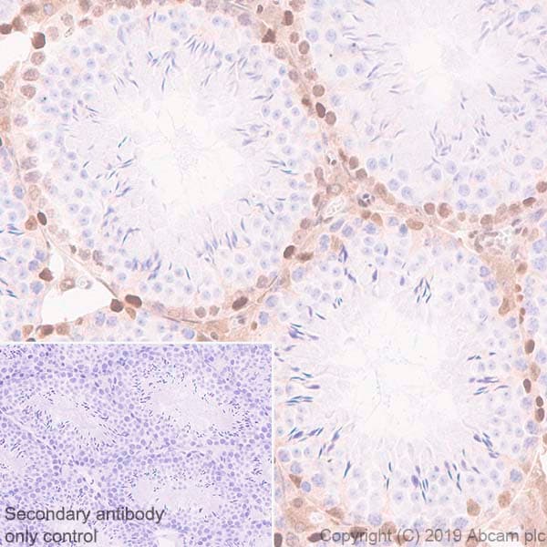
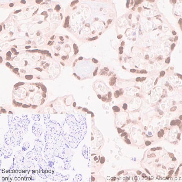
Anti-Dnmt3a antibody [EPR18455](AB188470)

$undefined

Anti-Dnmt3a antibody [EPR18455](AB188470)

Anti-Dnmt3a antibody [EPR18455](AB188470)

Anti-Dnmt3a antibody [EPR18455](AB188470)

Anti-Dnmt3a antibody [EPR18455](AB188470)

Anti-Dnmt3a antibody [EPR18455](AB188470)

Anti-Dnmt3a antibody [EPR18455](AB188470)

Anti-Dnmt3a antibody [EPR18455](AB188470)

Anti-Dnmt3a antibody [EPR18455](AB188470)

Anti-Dnmt3a antibody [EPR18455](AB188470)

Anti-Dnmt3a antibody [EPR18455](AB188470)

Anti-Dnmt3a antibody [EPR18455](AB188470)

Anti-Dnmt3a antibody [EPR18455](AB188470)

Rabbit Recombinant Monoclonal Dnmt3a antibody. Suitable for WB, IHC-P, ICC/IF, Flow Cyt (Intra) and reacts with Human, Mouse, Rat samples. Cited in 36 publications.
Specifications
Shipped At Conditions Blue Ice
Appropriate Long term Storage Conditions Store at -20°C.
Clonality Monoclonal
Applications Human, Mouse, Rat
Species Reactivity Flow Cyt (Intra), ICC/IF, IHC-P, WB
Isotype IgG