Western blot - Anti-p21 antibody [EPR18021] (ab188224)
Blocking/Dilution buffer: 5% NFDM/TBST.
The expression level of p21 protein can be induced using staurosporine (protein kinase C inhibitor) (PMID:7677742).
All lanes:
Western blot - Anti-p21 antibody [EPR18021] (ab188224) at 1/1000 dilution
Lane 1:
Untreated NIH/3T3 (Mouse embryonic fibroblast cell line) whole cell lysate at 20 µg
Lane 2:
NIH/3T3 (Mouse embryonic fibroblast cell line) treated with 1μM staurosporine for 2hrs, whole cell lysate at 20 µg
Secondary
All lanes:
Western blot - Goat Anti-Rabbit IgG H&L (HRP) (ab97051) at 1/100000 dilution
Predicted band size: 18 kDa
Observed band size: 18 kDa
Exposure time: 3min
![Western blot - Anti-p21 antibody [EPR18021] (ab188224) at 1/1000 dilution Lane 1: Untreated NIH/3T3 lysate. Lane 2: NIH/3T3 lysate treated with 1 μm staurosporine](./media_1a5e983712593f1108cdf32a494e56067902005b3.avif?width=750&format=avif&optimize=medium)
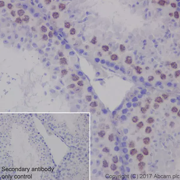
Immunohistochemistry (Formalin/PFA-fixed paraffin-embedded sections) - Anti-p21 antibody [EPR18021] (ab188224)
Immunohistochemical analysis of paraffin-embedded mouse testis tissue labeling p21 with ab188224 at 1/1000 dilution, followed by Goat Anti-Rabbit IgG H&L (HRP) (ab97051) at 1/500 dilution.
Nuclear staining on mouse testis is observed (PMID: 9170103).
Counter stained with Hematoxylin.
Secondary antibody only control: Used PBS instead of primary antibody, secondary antibody is Goat Anti-Rabbit IgG H&L (HRP) (ab97051) at 1/500 dilution.
Perform heat mediated antigen retrieval with Tris/EDTA buffer pH 9.0 before commencing with IHC staining protocol.

Immunocytochemistry/ Immunofluorescence - Anti-p21 antibody [EPR18021] (ab188224)
Immunofluorescent analysis of 4% paraformaldehyde-fixed, 0.1% Triton X-100 permeabilized RAW 264.7 (Mouse macrophage cell line transformed with Abelson murine leukemia virus) cells labeling p21 with ab188224 at 1/500 dilution, followed by Goat anti-rabbit IgG (Alexa Fluor® 488) (ab150077) secondary antibody at 1/1000 dilution (green).
Confocal image showing nuclear staining on RAW264.7 cells.
The nuclear counterstain is DAPI (blue).
Tubulin is detected with ab195889 (Anti-alpha Tubulin antibody [DM1A] - Microtubule Marker (Alexa Fluor® 594)) at 1/200 dilution (red).
Secondary antibody only control: Used PBS instead of primary antibody, secondary antibody is Goat anti-rabbit IgG (Alexa Fluor® 488) (ab150077) at 1/1000 dilution.

Flow Cytometry (Intracellular) - Anti-p21 antibody [EPR18021] (ab188224)
Intracellular flow cytometric analysis of 4% paraformaldehyde-fixed RAW 264.7 (Mouse macrophage cell line transformed with Abelson murine leukemia virus) cells labeling p21with ab188224 at 1/50 dilution (red) compared with a rabbit monoclonal IgG isotype control (ab172730; black) and an unlabeled control (cells without incubation with primary antibody and secondary antibody; blue). Goat anti rabbit IgG (Alexa Fluor® 488) (ab150077) at 1/2000 dilution was used as the secondary antibody.

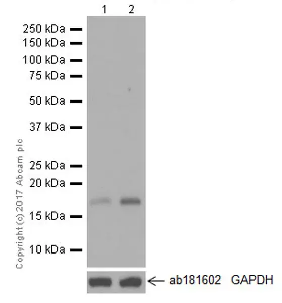
Western blot - Anti-p21 antibody [EPR18021] (ab188224)
Blocking/Dilution buffer: 5% NFDM/TBST.
All lanes:
Western blot - Anti-p21 antibody [EPR18021] (ab188224) at 1/1000 dilution
All lanes:
RAW264.7 (Mouse macrophage cell line transformed with Abelson murine leukemia virus) whole cell lysate at 10 µg
Secondary
All lanes:
Western blot - Goat Anti-Rabbit IgG H&L (HRP) (ab97051) at 1/100000 dilution
Predicted band size: 18 kDa
Observed band size: 18 kDa
Exposure time: 8s
![Western blot - Anti-p21 antibody [EPR18021] (ab188224) at 1/1000 dilution](./media_1760e53aa48407ef0daaad79dc8f8410ad2858c3f.avif?width=750&format=avif&optimize=medium)
Immunoprecipitation - Anti-p21 antibody [EPR18021] (ab188224)
p21 was immunoprecipitated from 0.35 mg of NIH/3T3 (Mouse embryonic fibroblast cell line) whole cell lysate with ab188224 at 1/30 dilution.
Western blot was performed from the immunoprecipitate using ab188224 at 1/500 dilution.
VeriBlot for IP Detection Reagent (HRP) (ab131366), was used for detection at 1/1000 dilution.
Lane 1: NIH/3T3 whole cell lysate 10 μg (Input).
Lane 2: ab188224 IP in NIH/3T3 whole cell lysate.
Lane 3: Rabbit monoclonal IgG (ab172730) instead of ab188224 in NIH/3T3 whole cell lysate.
Blocking and dilution buffer and concentration: 5% NFDM/TBST.
Exposure time: 10 seconds.
All lanes:
Immunoprecipitation - Anti-p21 antibody [EPR18021] (ab188224)
Predicted band size: 18 kDa
