Western blot - Anti-TOMM20 antibody [EPR15581-54] - Mitochondrial Marker (ab186735)
All lanes:
Western blot - Anti-TOMM20 antibody [EPR15581-54] - Mitochondrial Marker (ab186735) at 1/10000 dilution
Lane 1:
HepG2 (human liver hepatocellular carcinoma cell line) cell lysate at 20 µg
Lane 2:
HeLa (human epithelial cell line from cervix adenocarcinoma) cell lysate at 20 µg
Lane 3:
SH-SY5Y (human neuroblastoma cell line from bone marrow) cell lysate at 20 µg
Secondary
All lanes:
Goat Anti-Rabbit IgG, (H+L), Peroxidase conjugate at 1/1000 dilution
Predicted band size: 16 kDa
Observed band size: 16 kDa
![Western blot - Anti-TOMM20 Antibody [EPR15581-54] - Mitochondrial Marker (ab186735) at 1/10000 dilution Lane 1: HepG2 cell lysate at 20 µg Lane 2: HeLa cell lysate at 20 µg Lane 3: SH-SY5Y cell lysate at 20 µg](./media_17be04c0a8a1c8db9ec1978bd1581607849ab402e.jpeg?width=750&format=jpeg&optimize=medium) 
              Immunohistochemistry (Frozen sections) - Anti-TOMM20 antibody [EPR15581-54] - Mitochondrial Marker (ab186735)
Immunohistochemistry (Frozen sections) analysis of rat small intestine tissue sections labeling TOMM20 with Purified ab186735 at 1/50 (1.9 µg/ml).Heat mediated antigen retrieval using sodium citrate buffer (10mM citrate pH 6.0 + 0.05% Tween-20). Goat anti rabbit IgG (Alexa Fluor® 488, ab150077) was used as the secondary antibody. Negative control: PBS instead of the primary antibody. DAPI was used as a counterstain.
 
              Immunocytochemistry/ Immunofluorescence - Anti-TOMM20 antibody [EPR15581-54] - Mitochondrial Marker (ab186735)
ab186735 staining TOMM20 in HeLa (human epithelial cell line from cervix adenocarcinoma) cells by ICC/IF (Immunocytochemistry/immunofluorescence). Cells were fixed with 4% Paraformaldehyde and permeabilized with 0.1% Triton X-100. Samples were incubated with primary antibody at a dilution of 1/500. A goat anti rabbit IgG (Alexa Fluor® 488) (ab150077) was used as the secondary antibody at a dilution of 1/1000. DAPI was used as a nuclear counterstain.
Control: PBS only
 
              Western blot - Anti-TOMM20 antibody [EPR15581-54] - Mitochondrial Marker (ab186735)
All lanes:
Western blot - Anti-TOMM20 antibody [EPR15581-54] - Mitochondrial Marker (ab186735) at 1/2000 dilution
Lane 1:
PC-12 (rat adrenal gland pheochromocytoma cell line) cell lysate at 10 µg
Lane 2:
NIH/3T3 (mouse embyro fibroblast cell line) cell lysate at 10 µg
Secondary
All lanes:
Goat Anti-Rabbit IgG, (H+L), Peroxidase conjugate at 1/1000 dilution
Predicted band size: 16 kDa
Observed band size: 16 kDa
![All lanes: Western blot - Anti-TOMM20 antibody [EPR15581-54] - Mitochondrial Marker (ab186735) at 1/2000 dilution Lane 1: PC-12 cell lysate at 10 µg Lane 2: NIH/3T3 cell lysate at 10 µg](./media_18303e3e3f0cbb035d5b6aa9f2c7c0693ea45bbda.jpeg?width=750&format=jpeg&optimize=medium) 
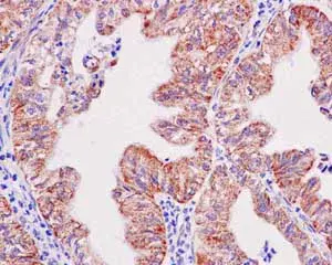
              Immunohistochemistry (Formalin/PFA-fixed paraffin-embedded sections) - Anti-TOMM20 antibody [EPR15581-54] - Mitochondrial Marker (ab186735)
Immunohistochemical analysis of paraffin-embedded Human ovarian carcinoma tissue labeling TOMM20 with ab186735 at 1/100 dilution followed by prediluted HRP Polymer for Rabbit IgG. Counter stained with Hematoxylin.
Perform heat mediated antigen retrieval with EDTA buffer pH 9 before commencing with IHC staining protocol.
 
              Flow Cytometry (Intracellular) - Anti-TOMM20 antibody [EPR15581-54] - Mitochondrial Marker (ab186735)
Intracellular Flow Cytometry analysis of TOMM20 expression in paraformaldehyde-fixed HeLa (human epithelial cell line from cervix adenocarcinoma) cells cells using ab186735 at 1/90 dilution (red) and a rabbit IgG as negative control (green).
