JavaScript is disabled in your browser. Please enable JavaScript to view this website.

Anti-TMEM119 antibody - C-terminal(AB185333)

$undefined

Anti-TMEM119 antibody - C-terminal(AB185333)

Anti-TMEM119 antibody - C-terminal(AB185333)

Anti-TMEM119 antibody - C-terminal(AB185333)

Anti-TMEM119 antibody - C-terminal(AB185333)

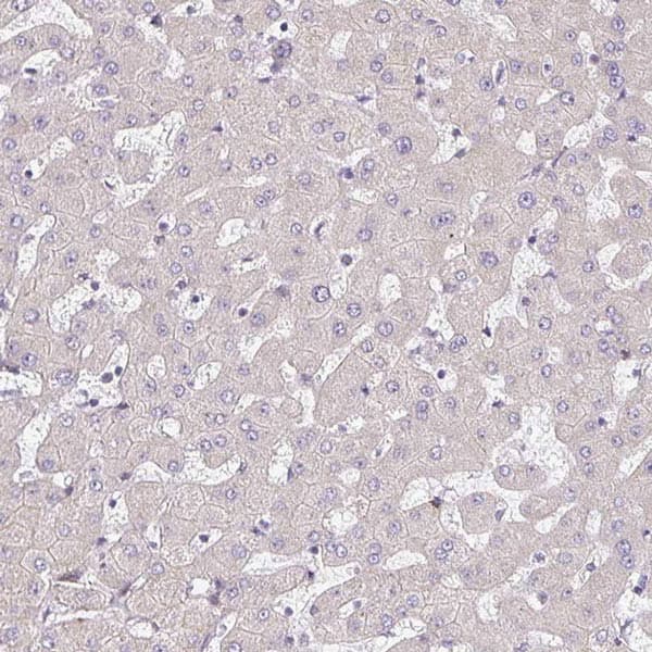
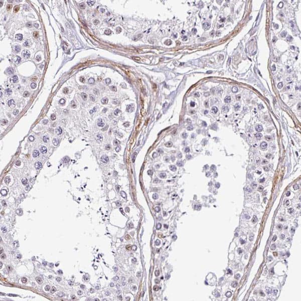
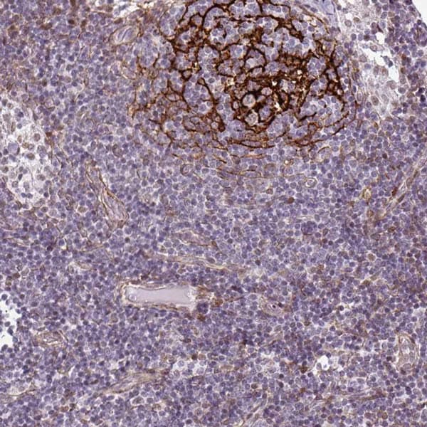
Anti-TMEM119 antibody ab185333 is a rabbit polyclonal antibody that is used in TMEM119 IHC. Suitable for human samples.
Specifications
Shipped At Conditions Blue Ice
Appropriate Long term Storage Conditions Store at -20°C.
Clonality Polyclonal
Applications IHC-P
Species Reactivity Human
Isotype IgG