JavaScript is disabled in your browser. Please enable JavaScript to view this website.

Anti-PUS10 antibody(AB185078)

$undefined

Anti-PUS10 antibody(AB185078)

Anti-PUS10 antibody(AB185078)

Anti-PUS10 antibody(AB185078)

Anti-PUS10 antibody(AB185078)

Anti-PUS10 antibody(AB185078)

Anti-PUS10 antibody(AB185078)

Anti-PUS10 antibody(AB185078)

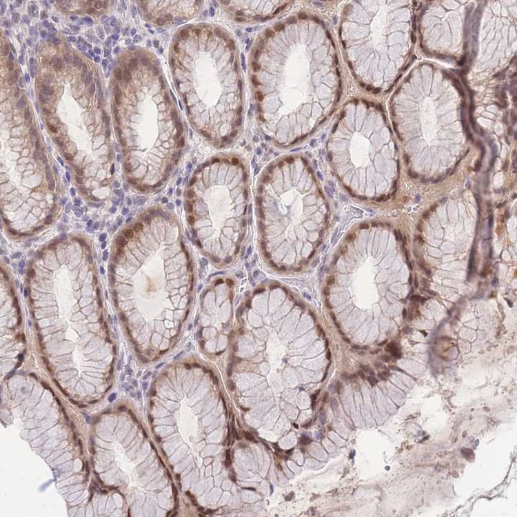
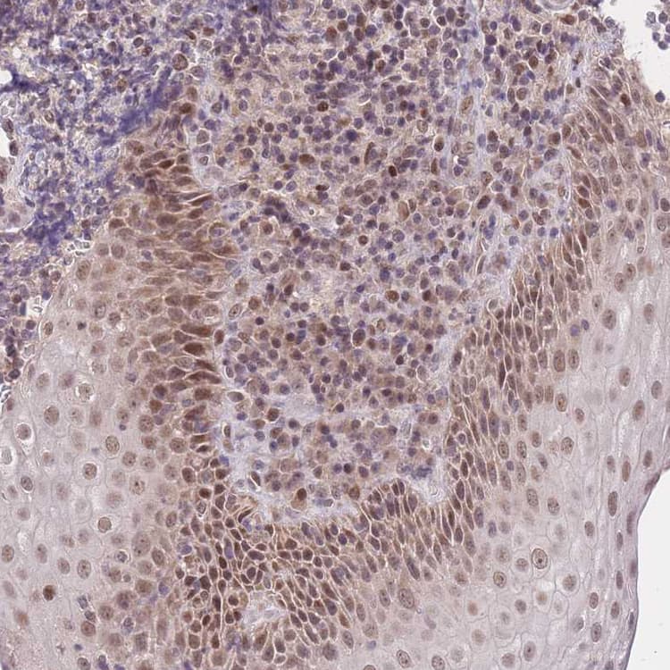
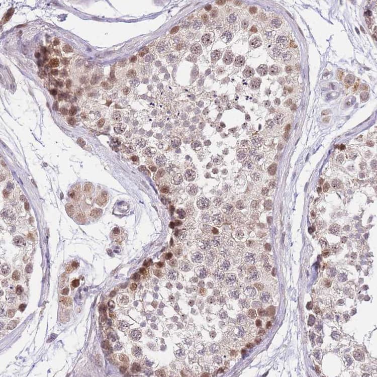
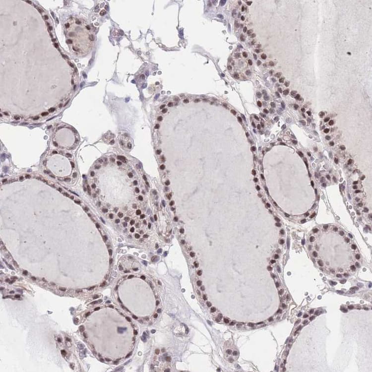
Rabbit Polyclonal PUS10 antibody. Suitable for IHC-P, WB, ICC/IF and reacts with Human samples. Immunogen corresponding to Recombinant Fragment Protein within Human tRNA pseudouridine synthase Pus10 aa 250-400.
Specifications
Shipped At Conditions Blue Ice
Appropriate Long term Storage Conditions Store at -20°C.
Clonality Polyclonal
Applications ICC/IF, IHC-P, WB
Species Reactivity Human
Isotype IgG