JavaScript is disabled in your browser. Please enable JavaScript to view this website.

Anti-Caspase-3 antibody [EPR18297](AB184787)

$undefined

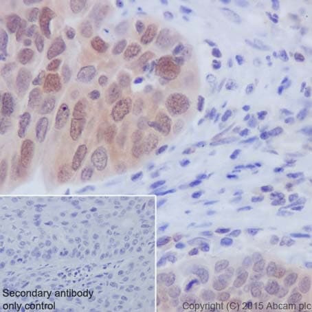
Caspase 3 Antibody Epr18297 Ab184787  Immunohistochemistry Formalin Pfa Fixed Paraffin Embedded Sections Img116990

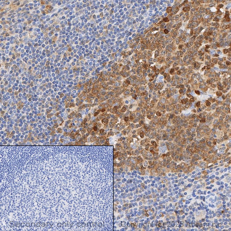
Caspase 3 Antibody Epr18297 Ab184787  Immunohistochemistry Formalin Pfa Fixed Paraffin Embedded Sections Img134695

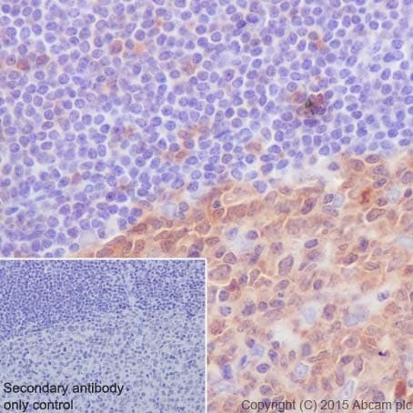
Caspase 3 Antibody Epr18297 Ab184787  Immunohistochemistry Formalin Pfa Fixed Paraffin Embedded Sections Img445552

Caspase 3 Antibody Epr18297 Ab184787  Immunoprecipitation Img158

Caspase 3 Antibody Epr18297 Ab184787  Western Blot Img120658

Caspase 3 Antibody Epr18297 Ab184787  Western Blot Img40399

Caspase 3 Antibody Epr18297 Ab184787  Western Blot Img409221

Caspase 3 Antibody Epr18297 Ab184787  Western Blot Img415962

Caspase 3 Antibody Epr18297 Ab184787  Western Blot Img415963

Caspase 3 Antibody Epr18297 Ab184787  Western Blot Img64966

Anti-Caspase-3 antibody [EPR18297] ab184787 is a rabbit monoclonal antibody that is used in Caspase-3 western blotting and IHC. Suitable for human, mouse and rat samples.

- Recombinant format for unrivaled batch-batch consistency: no need for same-lot requests
- Specificity confirmed with CASP3 knockout cell line validation
- Specificity and sensitivity confirmed in IHC with multi-tissue microarray (TMA) validation
- Antibody clone EPR18297 is cited in over 330 publications

New 20 ul size available
Specifications
Shipped At Conditions Blue Ice
Appropriate Long term Storage Conditions Store at -20°C.
Clonality Monoclonal
Applications IHC-P, IP, WB
Species Reactivity Human, Mouse, Rat
Isotype IgG