JavaScript is disabled in your browser. Please enable JavaScript to view this website.

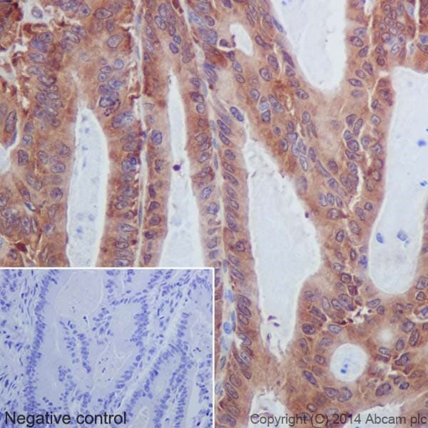
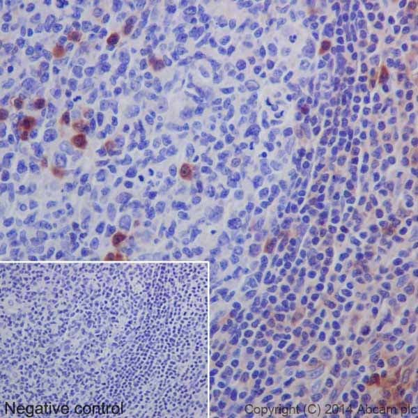
Anti-MLKL antibody [EPR17514](AB184718)

$undefined

Anti-MLKL antibody [EPR17514](AB184718)

Anti-MLKL antibody [EPR17514](AB184718)

Anti-MLKL antibody [EPR17514](AB184718)

Anti-MLKL antibody [EPR17514](AB184718)

Anti-MLKL antibody [EPR17514](AB184718)

Anti-MLKL antibody [EPR17514](AB184718)

Anti-MLKL antibody [EPR17514](AB184718)

Rabbit Recombinant Monoclonal MLKL antibody. Suitable for WB, ICC/IF, IHC-P and reacts with Human samples. Cited in 84 publications.
Specifications
Shipped At Conditions Blue Ice
Appropriate Long term Storage Conditions Store at -20°C.
Clonality Monoclonal
Applications ICC/IF, IHC-P, WB
Species Reactivity Human
Isotype IgG