JavaScript is disabled in your browser. Please enable JavaScript to view this website.

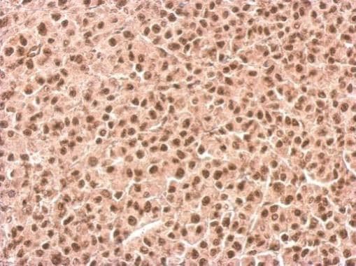
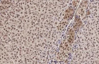
Anti-KMT3A / HYPB / HIF-1 antibody(AB184190)

$undefined

Anti-KMT3A / HYPB / HIF-1 antibody(AB184190)

Anti-KMT3A / HYPB / HIF-1 antibody(AB184190)

Anti-KMT3A / HYPB / HIF-1 antibody(AB184190)

Rabbit Polyclonal KMT3A / HYPB / HIF-1 antibody. Suitable for WB, IHC-P and reacts with Human samples. Cited in 2 publications. Immunogen corresponding to Recombinant Fragment Protein within Human SETD2 aa 450-700.
Specifications
Shipped At Conditions Blue Ice
Appropriate Long term Storage Conditions Store at -20°C.
Clonality Polyclonal
Applications Human
Species Reactivity IHC-P, WB
Isotype IgG