JavaScript is disabled in your browser. Please enable JavaScript to view this website.

Anti-Ferritin Heavy Chain antibody [EPR18878](AB183781)

$undefined

Anti-Ferritin Heavy Chain antibody [EPR18878](AB183781)

Anti-Ferritin Heavy Chain antibody [EPR18878](AB183781)

Anti-Ferritin Heavy Chain antibody [EPR18878](AB183781)

Anti-Ferritin Heavy Chain antibody [EPR18878](AB183781)

Anti-Ferritin Heavy Chain antibody [EPR18878](AB183781)

Anti-Ferritin Heavy Chain antibody [EPR18878](AB183781)

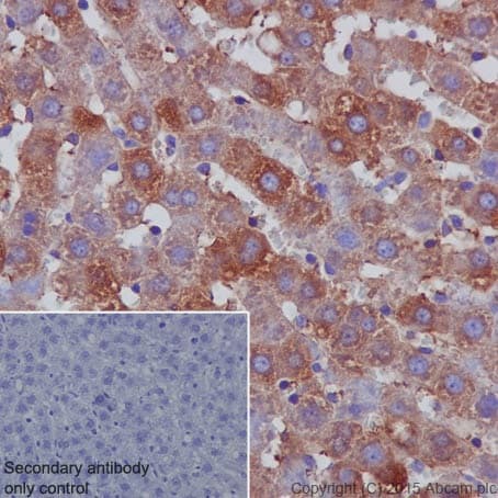
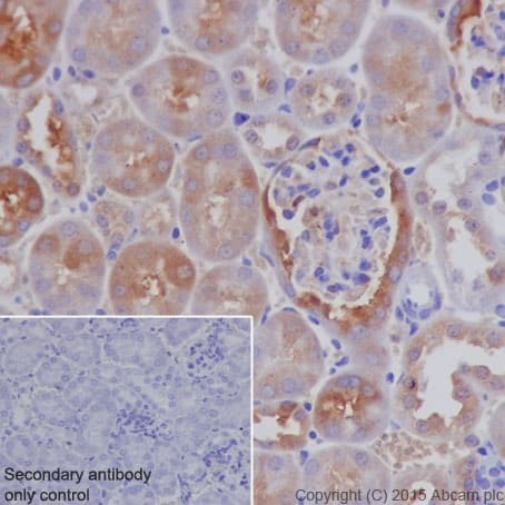
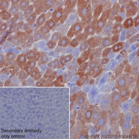
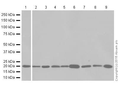
Rabbit Recombinant Monoclonal Ferritin Heavy Chain antibody. Suitable for WB, IHC-P and reacts with Mouse, Rat samples. Cited in 46 publications.
Specifications
Shipped At Conditions Blue Ice
Appropriate Long term Storage Conditions Store at -20°C.
Clonality Monoclonal
Applications IHC-P, WB
Species Reactivity Mouse, Rat
Isotype IgG