Immunohistochemistry (Formalin/PFA-fixed paraffin-embedded sections) - Anti-GFP antibody [EPR14104] (ab183734)
Immunohistochemistry (Formalin/PFA-fixed paraffin-embedded sections) analysis of GFP transgenic mouse pancreas tissue labelling GFP with purified ab183734 at a dilution of 1/100. Heat mediated antigen retrieval was performed using Tris/EDTA buffer pH 9. ab97051, a HRP-conjugated goat anti-rabbit IgG (H+L) was used as the secondary antibody (1/500). Negative control using PBS instead of primary antibody. Counterstained with hematoxylin.
![Immunohistochemistry (Formalin/PFA-fixed paraffin-embedded sections) - Anti-GFP antibody [EPR14104] (ab183734)](./media_1129de2a6d468cce2f6ce975d7f9230a6b0f62505.jpeg?width=750&format=jpeg&optimize=medium)
Immunocytochemistry/ Immunofluorescence - Anti-GFP antibody [EPR14104] (ab183734)
ab183734 staining GFP in GFP-transfected NIH3T3 cells. The cells were fixed with 4% formaldehyde (10min) and then blocked in 1% BSA / 0.3M glycine in 0.1%PBS-Tween for 1h. The cells were then incubated with ab183734 at 1/500 dilution overnight at +4°C followed by incubation with ab150081, Goat Anti-Rabbit IgG H&L (Alexa Fluor® 488), for 1 hour, at 1μg/ml.
Under identical experimental conditions, when compared to the basal level of GFP expression in transfected NIH3T3 cells, the cells upon which ab183734 was applied gave a stronger signal in the 488 channel, indicating that ab183734 is binding to GFP and therefore eliciting signal amplification.
ab183734 was also applied to non-GFP-transfected NIH3T3 cells, which produced no positive staining, indicating specificity for GFP. Nuclear DNA was labelled with 1.43μM DAPI (blue).
![Immunocytochemistry/ Immunofluorescence - Anti-GFP antibody [EPR14104] (ab183734)](./media_1624bc9c06f08412396206644cc0fa8cda716a3e9.avif?width=750&format=avif&optimize=medium)
Western blot - Anti-GFP antibody [EPR14104] (ab183734)
Blocking and dilution buffer: 5% NFDM /TBST.
All lanes:
Western blot - Anti-GFP antibody [EPR14104] (ab183734) at 1/10000 dilution
Lane 1:
GFP transfected 293 cell lysate at 10 µg
Lane 2:
Non-transfected 293 cell lysate at 10 µg
Secondary
All lanes:
Western blot - Goat Anti-Rabbit IgG H&L (HRP) (ab97051) at 1/100000 dilution
Predicted band size: 27 kDa
Observed band size: 25 kDa
![Western blot - Anti-GFP antibody [EPR14104] (ab183734)](./media_1b6ee0bc0838f8f04d34316b2da01aad2b8abecb6.avif?width=750&format=avif&optimize=medium)
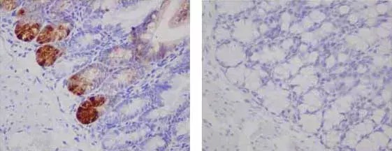
Immunohistochemistry (Formalin/PFA-fixed paraffin-embedded sections) - Anti-GFP antibody [EPR14104] (ab183734)
Immunohistochemical analysis of paraffin-embedded GFP transgenic mouse colon tissue (left) and normal mouse colon tissue (right) labeling GFP with unpurified ab183734 at 1/250 dilution followed by prediluted HRP Polymer for Rabbit IgG. Counterstained with Hematoxylin.
Perform heat mediated antigen retrieval before commencing with IHC staining protocol.
![Immunohistochemistry (Formalin/PFA-fixed paraffin-embedded sections) - Anti-GFP antibody [EPR14104] (ab183734)](./media_131360d9995edc5dba97a53ba43164b6e2d72847e.avif?width=750&format=avif&optimize=medium)
Immunocytochemistry/ Immunofluorescence - Anti-GFP antibody [EPR14104] (ab183734)
Immunofluorescent analysis of 4% paraformaldehyde-fixed GFP transfected 293 cells labeling GFP with unpurified ab183734 at 1/500 dilution, followed by Goat anti rabbit IgG (Alexa Fluor® 488) secondary antibody at 1/200 dilution (green). Counterstained with Dapi (blue)

Western blot - Anti-GFP antibody [EPR14104] (ab183734)
Different batches of ab183734 were tested on GFP transfected HEK-293 (Human embryonic kidney epithelial cell) lysate at 0.004 µg/ml. 15 µg of lysate was loaded in each lane. Bands observed at 27 kDa.
All lanes:
Western blot - Anti-GFP antibody [EPR14104] (ab183734)
Predicted band size: 27 kDa
![Western blot analysis of GFP transfected HEK-293 cell lysate using anti-GFP antibody [EPR14104] (ab183734). Different batches tested at 0.004 µg/ml, with 15 µg of lysate per lane.](./media_1f02f74487cca0b142d9999df9cecf529f2e23f4d.avif?width=750&format=avif&optimize=medium)