JavaScript is disabled in your browser. Please enable JavaScript to view this website.

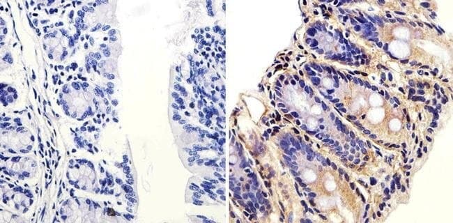
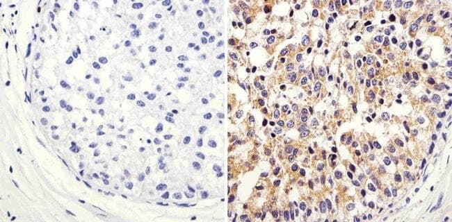
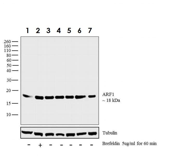
Anti-ARF1 antibody(AB183576)

$undefined

Anti-ARF1 antibody(AB183576)

Anti-ARF1 antibody(AB183576)

Anti-ARF1 antibody(AB183576)

Anti-ARF1 antibody(AB183576)

Anti-ARF1 antibody(AB183576)

Anti-ARF1 antibody(AB183576)

Anti-ARF1 antibody(AB183576)

Anti-ARF1 antibody(AB183576)

Anti-ARF1 antibody(AB183576)

Rabbit Polyclonal ARF1 antibody. Suitable for IHC-P, IP, WB, ICC/IF and reacts with Mouse, Human, Rat, Dog samples. Cited in 1 publication. Immunogen corresponding to Synthetic Peptide within Human ARF1 aa 150 to C-terminus.
Specifications
Shipped At Conditions Blue Ice
Appropriate Long term Storage Conditions Store at -20°C.
Clonality Polyclonal
Applications ICC/IF, IHC-P, IP, WB
Species Reactivity Dog, Human, Mouse, Rat
Isotype IgG