JavaScript is disabled in your browser. Please enable JavaScript to view this website.

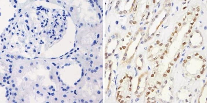
Anti-PAX8 antibody [1F8-3A8](AB183573)

$undefined

Anti-PAX8 antibody [1F8-3A8](AB183573)

Anti-PAX8 antibody [1F8-3A8](AB183573)

Anti-PAX8 antibody [1F8-3A8](AB183573)

Anti-PAX8 antibody [1F8-3A8](AB183573)

Mouse Monoclonal PAX8 antibody. Suitable for WB, IHC-P, ICC/IF and reacts with Human, African green monkey, Mouse samples. Immunogen corresponding to Recombinant Fragment Protein within Human PAX8.
Specifications
Shipped At Conditions Blue Ice
Appropriate Long term Storage Conditions Store at -20°C.
Clonality Monoclonal
Applications ICC/IF, IHC-P, WB
Species Reactivity African green monkey, Human, Mouse
Isotype IgG1