JavaScript is disabled in your browser. Please enable JavaScript to view this website.

Anti-Nicotinic Acetylcholine Receptor alpha 3/CHRNA3 antibody(AB183097)

$undefined

Anti-Nicotinic Acetylcholine Receptor alpha 3/CHRNA3 antibody(AB183097)

Anti-Nicotinic Acetylcholine Receptor alpha 3/CHRNA3 antibody(AB183097)

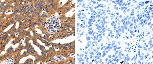
Rabbit Polyclonal Nicotinic Acetylcholine Receptor alpha 3/CHRNA3 antibody. Suitable for WB, IHC-P and reacts with Human samples. Cited in 3 publications. Immunogen corresponding to Synthetic Peptide within Human Neuronal acetylcholine receptor subunit alpha-3 aa 50-100.
Specifications
Shipped At Conditions Blue Ice
Appropriate Long term Storage Conditions Store at -20°C.
Clonality Polyclonal
Applications IHC-P, WB
Species Reactivity Human
Isotype IgG