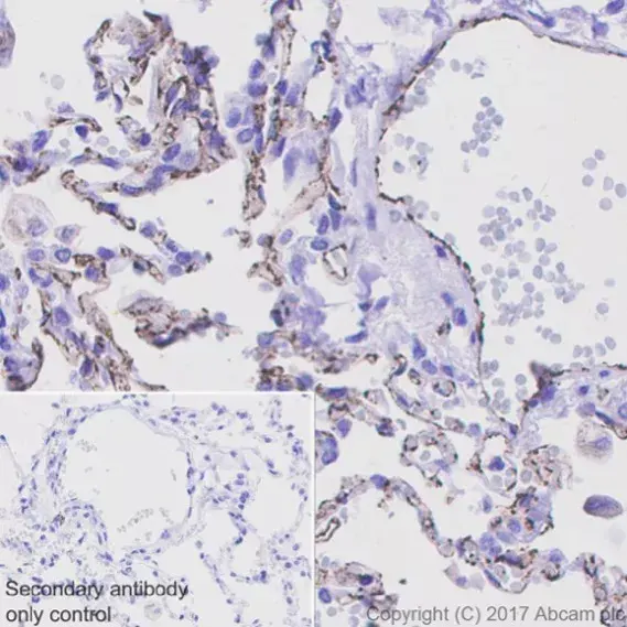
Immunohistochemistry (Formalin/PFA-fixed paraffin-embedded sections) - Anti-CD31 antibody [EPR17259] (ab182981)
Immunohistochemical analysis of paraffin-embedded rat lung tissue labeling CD31 with ab182981 at 1/2000 dilution, followed by Goat Anti-Rabbit IgG H&L (HRP) ready to use. Membranous staining on endothelial cells in rat lung (PMID: 16234507) is observed. Counterstained with hematoxylin.
Secondary antibody only control: Used PBS instead of primary antibody, secondary antibody is Goat Anti-Rabbit IgG H&L (HRP) ready to use.
Perform heat mediated antigen retrieval with Tris/EDTA buffer pH 9.0 before commencing with IHC staining protocol.

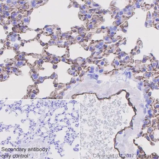
Immunohistochemistry (Formalin/PFA-fixed paraffin-embedded sections) - Anti-CD31 antibody [EPR17259] (ab182981)
Immunohistochemical analysis of paraffin-embedded mouse lung tissue labeling CD31 with ab182981 at 1/2000 dilution, followed by Goat Anti-Rabbit IgG H&L (HRP) ready to use. Membranous staining on endothelial cells in mouse lung (PMID: 16234507) is observed. Counterstained with hematoxylin.
Secondary antibody only control: Used PBS instead of primary antibody, secondary antibody is Goat Anti-Rabbit IgG H&L (HRP) ready to use.
Perform heat mediated antigen retrieval with Tris/EDTA buffer pH 9.0 before commencing with IHC staining protocol.

Immunohistochemistry (Formalin/PFA-fixed paraffin-embedded sections) - Anti-CD31 antibody [EPR17259] (ab182981)
Immunohistochemical analysis of paraffin-embedded human lung tissue labeling CD31 with ab182981 at 1/2000 dilution, followed by Goat Anti-Rabbit IgG H&L (HRP) ready to use. Membranous staining on endothelial cells in human lung (PMID: 16234507) is observed. Counterstained with hematoxylin.
Secondary antibody only control: Used PBS instead of primary antibody, secondary antibody is Goat Anti-Rabbit IgG H&L (HRP) ready to use.
Perform heat mediated antigen retrieval with Tris/EDTA buffer pH 9.0 before commencing with IHC staining protocol.

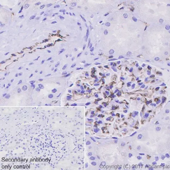
Immunohistochemistry (Formalin/PFA-fixed paraffin-embedded sections) - Anti-CD31 antibody [EPR17259] (ab182981)
Immunohistochemical analysis of paraffin-embedded human kidney tissue labeling CD31 with ab182981 at 1/2000 dilution, followed by Goat Anti-Rabbit IgG H&L (HRP) ready to use. Membranous staining on endothelial cells in human kidney (PMID: 16234507) is observed. Counterstained with hematoxylin.
Secondary antibody only control: Used PBS instead of primary antibody, secondary antibody is Goat Anti-Rabbit IgG H&L (HRP) ready to use.
Perform heat mediated antigen retrieval with Tris/EDTA buffer pH 9.0 before commencing with IHC staining protocol.

Multiplex immunohistochemistry - Anti-CD31 antibody [EPR17259] (ab182981)
Fluorescence multiplex immunohistochemical analysis of the human endometrium (Formalin/PFA-fixed paraffin-embedded sections).
Panel A: merged staining of anti-EpCAM (ab223582, magenta; Opal™690), anti-NKG2A (ab260035, green; Opal™520) and anti-CD31 (ab182981, red; Opal™570) on human endometrium. Panel B: anti-NKG2A stained on NK cells. Panel C: anti-CD31 stained on endothelial cells. Panel D: anti-EpCAM stained on glandular cells. Opal Polymer HRP Ms + Rb was used as a secondary antibody.
The section was incubated in three rounds of staining: in the order of ab223582 at 1/500 dilution (1.008 μg/ml), ab260035 at 1/2000 dilution (0.262 μg/ml) and ab182981 at 1/4000 dilution (0.137 μg/ml) for 30 mins at room temperature. Each round was followed by a separate fluorescent tyramide signal amplification system.
The immunostaining was performed on a Leica Biosystems BOND® RX instrument with an Opal™ 4-color kit. Image acquisition was performed with Leica SP8 confocal microscope.
Heat mediated antigen retrieval with Tris-EDTA buffer (pH 9.0, epitope retrieval solution2) for 20 mins. DAPI (blue) was used as a nuclear counter stain.
