JavaScript is disabled in your browser. Please enable JavaScript to view this website.

Anti-Bcl-2 antibody [EPR17509](AB182858)

$undefined

Anti-Bcl-2 antibody [EPR17509](AB182858)

Anti-Bcl-2 antibody [EPR17509](AB182858)

Anti-Bcl-2 antibody [EPR17509](AB182858)

Anti-Bcl-2 antibody [EPR17509](AB182858)

Anti-Bcl-2 antibody [EPR17509](AB182858)

Anti-Bcl-2 antibody [EPR17509](AB182858)

Anti-Bcl-2 antibody [EPR17509](AB182858)

Anti-Bcl-2 antibody [EPR17509](AB182858)

Anti-Bcl-2 antibody [EPR17509](AB182858)

Anti-Bcl-2 antibody [EPR17509](AB182858)

Anti-Bcl-2 antibody [EPR17509](AB182858)

Anti-Bcl-2 antibody [EPR17509](AB182858)

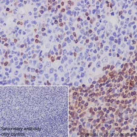
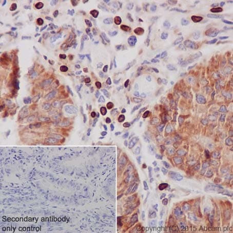
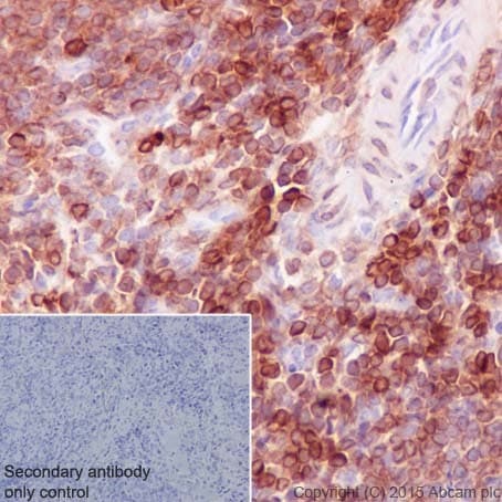
Anti-Bcl-2 antibody [EPR17509] ab182858 is a rabbit monoclonal antibody that is used in Bcl-2 western blotting, IHC and flow cytometry. Suitable for human and mouse samples.

- Recombinant format for unrivaled batch-batch consistency: no need for same-lot requests
- Specificity confirmed with BCL2 knockout cell line validation
- Specificity and sensitivity confirmed in IHC with multi-tissue microarray (TMA) validation
- Antibody clone EPR17509 is cited in over 880 publications
Specifications
Shipped At Conditions Blue Ice
Appropriate Long term Storage Conditions Store at -20°C.
Clonality Monoclonal
Applications Human, Mouse
Species Reactivity Flow Cyt (Intra), ICC/IF, IHC-P, WB
Isotype IgG