Request for Quote
Flow Cytometry - Anti-CD163 antibody [EPR19518] (ab182422)
Flow cytometry analysis of human PBMC cells (Human peripheral blood mononuclear cell) labeling with ab182422 at 1/60 dilution, 11.23 μg/ml (red). Goat anti rabbit IgG (Alexa Fluor® 488, ab150081) was used as the secondary antibody at 1/2000.

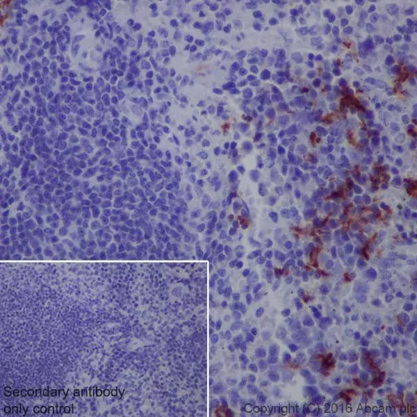
Immunohistochemistry (Formalin/PFA-fixed paraffin-embedded sections) - Anti-CD163 antibody [EPR19518] (ab182422)
Immunohistochemical analysis of paraffin-embedded mouse spleen tissue labeling CD163 with ab182422 at 1/500 dilution, followed by Goat Anti-Rabbit IgG H&L (HRP) (ab97051) at 1/500 dilution. Cytoplasm staining on mouse spleen is observed. Counter stained with Hematoxylin. Secondary antibody only control: Used PBS instead of primary antibody, secondary antibody is ab97051 at 1/500 dilution. Perform heat mediated antigen retrieval with Tris/EDTA buffer pH 9.0 before commencing with IHC staining protocol.

Specifications