JavaScript is disabled in your browser. Please enable JavaScript to view this website.

Anti-beta 2 Adrenergic Receptor antibody [EPR707(N)](AB182136)

$undefined

Anti-beta 2 Adrenergic Receptor antibody [EPR707(N)](AB182136)

Anti-beta 2 Adrenergic Receptor antibody [EPR707(N)](AB182136)

Anti-beta 2 Adrenergic Receptor antibody [EPR707(N)](AB182136)

Anti-beta 2 Adrenergic Receptor antibody [EPR707(N)](AB182136)

Anti-beta 2 Adrenergic Receptor antibody [EPR707(N)](AB182136)

Anti-beta 2 Adrenergic Receptor antibody [EPR707(N)](AB182136)

Anti-beta 2 Adrenergic Receptor antibody [EPR707(N)](AB182136)

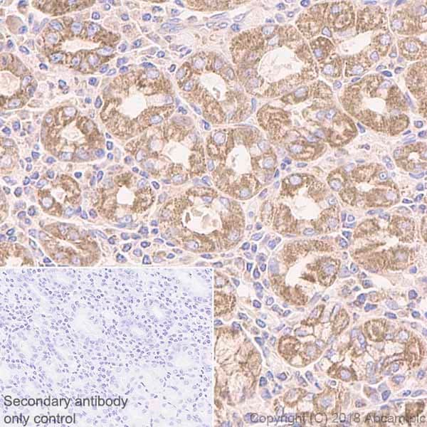
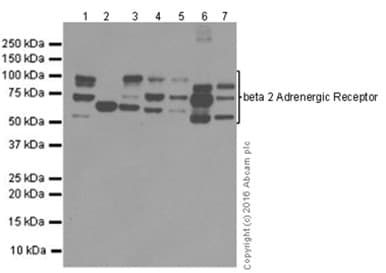
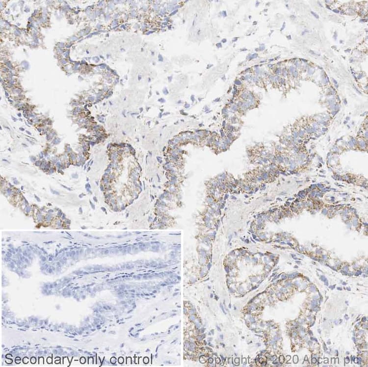
Anti-beta 2 Adrenergic Receptor antibody [EPR707(N)] ab182136 is a rabbit monoclonal antibody that is used in beta 2 Adrenergic Receptor western blotting and IHC. Suitable for human, mouse and rat samples.

- Recombinant format for unrivaled batch-batch consistency: no need for same-lot requests
- Validated on the Leica BOND™ RX automated IHC staining platform for Rabbit IHC
- Antibody clone EPR707(N) is the most widely used clone for beta 2 Adrenergic Receptor on the market and is cited in >70 publications
New 20 ul size available
Specifications
Shipped At Conditions Blue Ice
Appropriate Long term Storage Conditions Store at -20°C.
Clonality Monoclonal
Applications Flow Cyt, ICC/IF, IHC-Fr, IHC-P, WB
Species Reactivity Human, Mouse, Rat
Isotype IgG