JavaScript is disabled in your browser. Please enable JavaScript to view this website.

Anti-N Cadherin antibody - Intercellular Junction Marker(AB18203)

$undefined

Anti-N Cadherin antibody - Intercellular Junction Marker(AB18203)

Anti-N Cadherin antibody - Intercellular Junction Marker(AB18203)

Anti-N Cadherin antibody - Intercellular Junction Marker(AB18203)

Anti-N Cadherin antibody - Intercellular Junction Marker(AB18203)

Anti-N Cadherin antibody - Intercellular Junction Marker(AB18203)

Anti-N Cadherin antibody - Intercellular Junction Marker(AB18203)

Anti-N Cadherin antibody - Intercellular Junction Marker(AB18203)

Anti-N Cadherin antibody - Intercellular Junction Marker(AB18203)

Anti-N Cadherin antibody - Intercellular Junction Marker(AB18203)

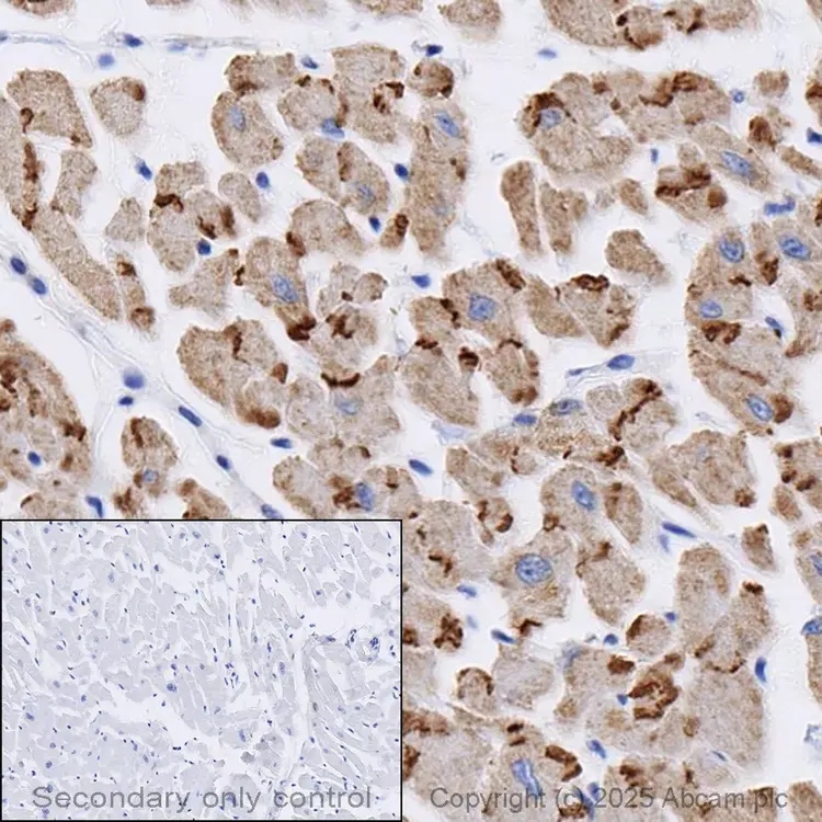
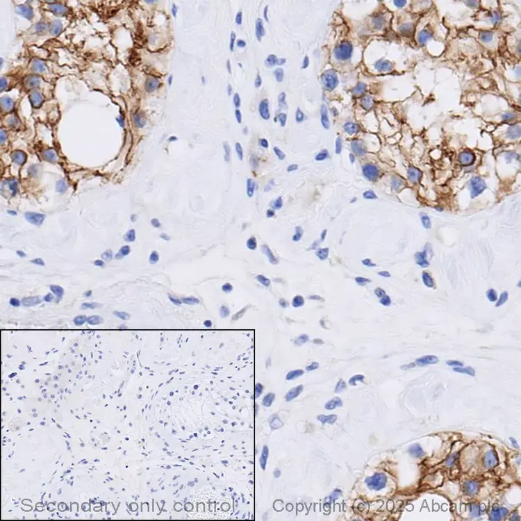
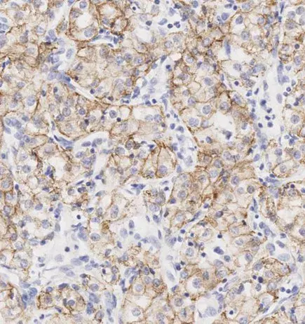
Anti-N Cadherin antibody ab18203 is a rabbit polyclonal antibody that is used in N Cadherin western blotting, IHC and immunofluorescence. Suitable for human, mouse and rat samples.

- Tried and trusted by researchers since 2005
Specifications
Shipped At Conditions Blue Ice
Appropriate Long term Storage Conditions Store at -20°C.
Clonality Polyclonal
Applications ICC/IF, IHC-P, IP, WB
Species Reactivity Human, Mouse, Rat
Isotype IgG