Immunoprecipitation - Anti-GAPDH antibody [EPR16891] - Loading Control (ab181602)
GAPDH was immunoprecipitated from 1mg of HeLa (Human epithelial cells from cervix adenocarcinoma) whole cell extract with ab181602 at 1/60 dilution. Western blot was performed from the immunoprecipitate using ab181602 at 1/5000 dilution. Anti-Rabbit IgG (HRP), specific to the non-reduced form of IgG, was used as secondary antibody at 1/1500 dilution.
Lane 1: HeLa whole cell extract.
Lane 2: PBS instead of HeLa whole cell extract.
Blocking and dilution buffer and concentration: 5% NFDM/TBST.
All lanes:
Immunoprecipitation - Anti-GAPDH antibody [EPR16891] - Loading Control (ab181602)
Predicted band size: 36 kDa
Observed band size: 36 kDa

Western blot - Anti-GAPDH antibody [EPR16891] - Loading Control (ab181602)
Blocking/Dilution buffer: 5% NFDM/TBST.
All lanes:
Western blot - Anti-GAPDH antibody [EPR16891] - Loading Control (ab181602) at 1/10000 dilution
Lane 1:
Mouse kidney lysates at 10 µg
Lane 2:
Mouse spleen lysates at 10 µg
Lane 3:
RAW 264.7 (Mouse macrophage cells transformed with Abelson murine leukemia virus) whole cell lysates at 10 µg
Lane 4:
PC-12 (Rat adrenal gland pheochromocytoma) whole cell lysates at 10 µg
Lane 5:
Rat brain lysates at 10 µg
Secondary
All lanes:
Goat Anti-Rabbit IgG, (H+L),Peroxidase conjugated at 1/1000 dilution
Predicted band size: 36 kDa
Observed band size: 36 kDa

Immunocytochemistry/ Immunofluorescence - Anti-GAPDH antibody [EPR16891] - Loading Control (ab181602)
Immunocytochemistry/immunofluorescence staining of 4% paraformaldehyde fixed; 0.1% triton X 100 permeabilized HeLa (human cervix adenocarcinoma) cells labeling GAPDH with ab181602 at dilution of 1/500. The secondary antibody used was Alexa Fluor® 488; goat anti-rabbit IgG (ab150077) at a dilution of 1/400. Nucleus was counter-stained with DAPI (blue). ab7291, a mouse anti-tubulin antibody (1/500) was used to stain tubulin along with ab150120 (AlexaFluor®594 goat anti-mouse secondary, 1/500). The negative controls are shown in the bottom middle and right hand panels- for negative control 1 primary antibody (ab181602; 1/500) and secondary antibody (ab150120; 1/500) was used. For negative control 2 primary antibody (ab7291; 1/500) and secondary antibody (ab150077; 1/400) was used.

Western blot - Anti-GAPDH antibody [EPR16891] - Loading Control (ab181602)
All lanes:
Western blot - Anti-ErbB2 / HER2 antibody [SP101] (ab231438)
All lanes:
SK-BR-3 (Human breast adenocarcinoma epithelial cell) whole cell lysate at 20 µg
Secondary
All lanes:
Western blot - Goat Anti-Rabbit IgG H&L (HRP) (ab97051) at 0.05 µg/mL
Predicted band size: 137 kDa
Observed band size: 180 kDa

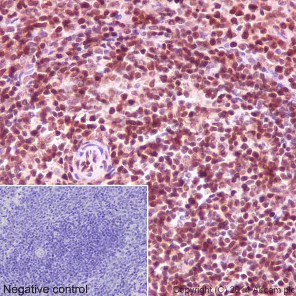
Immunohistochemistry (Formalin/PFA-fixed paraffin-embedded sections) - Anti-GAPDH antibody [EPR16891] - Loading Control (ab181602)
Immunohistochemical analysis of paraffin-embedded rat spleen tissue labeling GAPDH with ab181602 at 1/2000 dilution, followed by prediluted HRP Polymer for Rabbit/Mouse IgG. Nucleus and cytoplasmic staining on lymphocyte of rat spleen is observed. Counter stained with Hematoxylin.
Negative control: Using PBS instead of primary ab, secondary ab is prediluted HRP Polymer for Rabbit/Mouse IgG.
Perform heat mediated antigen retrieval with Tris/EDTA buffer pH 9.0 before commencing with IHC staining protocol.

Western blot - Anti-GAPDH antibody [EPR16891] - Loading Control (ab181602)
This blot was produced using a 4-12% Bis-tris gel under the MES buffer system. The gel was run at 200V for 50 minutes before being transferred onto a Nitrocellulose membrane at 30V for 70 minutes. The membrane was then blocked for an hour before being incubated with Anti-GAPDH antibody ab181602 overnight at 4°C. Antibody binding was detected using the Goat Anti-Rabbit IgG H&L (IRDye
Image shows merged signal (red and green). Green - Anti-beta Actin antibody [AC-15] (ab6276)ab6276 observed at 42 kDa. Red - GAPDH loading control, ab181602, observed at 37 kDa.
Lanes 1 - 2: Western blot - Anti-beta Actin antibody [AC-15] (ab6276) at 1/5000 dilution
Lanes 1 - 2: Western blot - Anti-GAPDH antibody [EPR16891] - Loading Control (ab181602) at 1/10000 dilution
Lane 1: Wild-type HAP1 cell lysate (20 µg)
Lane 2: Beta actin knockout HAP1 cell lysate (20 µg)
Secondary
Lanes 1 - 2: Western blot - Goat anti-Mouse IgG H&L (IRDye® 800CW) preadsorbed (ab216772) at 1/10000 dilution
Lanes 1 - 2: Western blot - Goat Anti-Rabbit IgG H&L (IRDye® 680RD) preadsorbed (ab216777) at 1/10000 dilution
Predicted band size: 36 kDa, 41 kDa
Lane 1: Wild-type HAP1 cell lysate (20 μg)
Lane 2: Beta actin knockout HAP1 cell lysate (20 μg)
Lanes 1 and 2: Merged signal (red and green). Green - beta actin, ab6276 observed at 42 kDa. Red - loading control, ab181602 observed at 37 kDa.
ab6276 was shown to specifically react with beta actin in wild-type HAP1 cells. No band was observed when beta actin knockout samples were used. Wild-type and beta actin knockout samples were subjected to SDS-PAGE. ab6276 (beta actin) and ab181602 (loading control to GAPDH) were diluted 1/5000 and 1/10 000 and incubated overnight at 4°C. Blots were developed with Goat anti-Mouse IgG H&L (IRDye® 800CW) preadsorbed (ab216772) and Goat Anti-Rabbit IgG H&L (IRDye® 680RD) preadsorbed (ab216777) secondary antibodies at 1/10 000 dilution for 1 h at room temperature before imaging.
