Immunocytochemistry/ Immunofluorescence - Anti-Pan Trk antibody [EPR17341] (ab181560)
Immunofluorescent analysis of 4% Paraformaldehyde-fixed, 0.1% TritonX-100 permeabilized mouse primary neural mix culture cells labelling Pan Trk with ab181560 at 1:100 dilution, followed by ab150077 AlexaFluor®488 Goat anti-Rabbit secondary antibody at 1:1000 dilution (Green). Confocal scanning Z step was set as 0.3 μm followed by image processing with maximum Z projection. ab195889 Anti-alpha Tubulin antibody [DM1A] - Microtubule Marker (Alexa Fluor® 594) was used to counterstain tubulin at 1:200 dilution (Red). The Nuclear counterstain was DAPI (Blue).

Immunocytochemistry/ Immunofluorescence - Anti-Pan Trk antibody [EPR17341] (ab181560)
Immunofluorescent analysis of 4% paraformaldehyde-fixed, 0.1% tritonX-100 permeabilized Neuro-2a (Mouse neuroblastoma cells) cells labeling Pan Trk with ab181560 at 1/250 dilution. Goat anti-rabbit IgG (Alexa Fluor® 488) (ab150077) at 1/400 dilution was used as the secondary antibody (green). Confocal image showing cytoplasmic staining on Neuro-2a cells is shown. The nuclear counter stain is DAPI (blue). Tubulin is detected with ab7291 (Tubulin mouse mAb) at 1/500 and ab150120 (Alexa Fluor® 594 Goat anti-Mouse secondary) at 1/500 dilution (red).
The negative controls are as follows;
1. ab181560 at 1/250 dilution followed by ab150120 (Goat anti mouse IgG (Alexa Fluor® 594)) at 1/500 dilution.
2. ab7291 (anti-Tubulin mouse mAb) at 1/500 dilution followed by ab150077 (Goat anti rabbit IgG (Alexa Fluor® 488)) at 1/400 dilution.

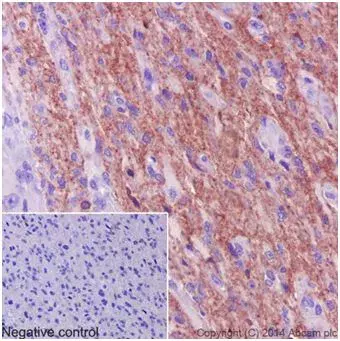
Immunohistochemistry (Formalin/PFA-fixed paraffin-embedded sections) - Anti-Pan Trk antibody [EPR17341] (ab181560)
Immunohistochemical analysis of paraffin-embedded Human astrocytoma tissue labeling Pan Trk with ab181560 at 1/500 dilution, followed by Anti-Rabbit HRP (ab97051) at 1/500 dilution. Astrocytoma cells show strong cytoplasmic staining. Counter stained with Hematoxylin. Antigen retrieval was perfomed using Tris-EDTA buffer, pH 9.0
Negative control: Using PBS instead of primary ab, secondary ab is prediluted HRP Polymer for Rabbit/Mouse IgG.

Western blot - Anti-Pan Trk antibody [EPR17341] (ab181560)
TrkB is abundantly expressed in the central and peripheral nervous systems, human fetal heart and human fetal spleen are used as negative controls.
The 30KDa band is an intracellular fragment TrkB-ICD, and the 140KDa observed MW which is higher than the predicted one is due to the glycosylation modification.
Blocking/dilution buffer: 5% NFDM/TBST.
All lanes:
Western blot - Anti-Pan Trk antibody [EPR17341] (ab181560) at 1/10000 dilution
Lane 1:
Human fetal brain lysates at 20 µg
Lane 2:
Human fetal heart lysates at 20 µg
Lane 3:
Human fetal spleen lysates at 20 µg
Secondary
All lanes:
Goat Anti-Rabbit IgG, (H+L),Peroxidase conjugated at 1/1000 dilution
Predicted band size: 92 kDa

Western blot - Anti-Pan Trk antibody [EPR17341] (ab181560)
Different batches of ab181560 were tested on human brain lysate at 1.5 µg/ml. 15 µg of lysate was loaded in each lane. Bands observed at 30,140 kDa.
All lanes:
Western blot - Anti-Pan Trk antibody [EPR17341] (ab181560)
Predicted band size: 92 kDa
![Western blot of anti-Pan Trk antibody [EPR17341] (ab181560) showing bands at 30 and 140 kDa.](./media_19a66f9c3c2519b101b4e757b52719e1064f21685.avif?width=750&format=avif&optimize=medium)
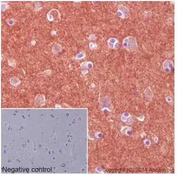
Immunohistochemistry (Formalin/PFA-fixed paraffin-embedded sections) - Anti-Pan Trk antibody [EPR17341] (ab181560)
Immunohistochemical analysis of paraffin-embedded Human cerebral cortex tissue labeling Pan Trk with ab181560 at 1/500 dilution, followed by Anti-Rabbit HRP (ab97051) at 1/500 dilution. Cytoplasmic staining is observed on neurons of human cerebral cortex. Counter stained with Hematoxylin. Antigen retrieval was perfomed using Tris-EDTA buffer, pH 9.0.
Negative control: Using PBS instead of primary ab, secondary ab is prediluted HRP Polymer for Rabbit/Mouse IgG.
