JavaScript is disabled in your browser. Please enable JavaScript to view this website.

Anti-GATA1 antibody [EPR17362] - ChIP Grade(AB181544)

$undefined

Anti-GATA1 antibody [EPR17362] - ChIP Grade(AB181544)

Anti-GATA1 antibody [EPR17362] - ChIP Grade(AB181544)

Anti-GATA1 antibody [EPR17362] - ChIP Grade(AB181544)

Anti-GATA1 antibody [EPR17362] - ChIP Grade(AB181544)

Anti-GATA1 antibody [EPR17362] - ChIP Grade(AB181544)

Anti-GATA1 antibody [EPR17362] - ChIP Grade(AB181544)

Anti-GATA1 antibody [EPR17362] - ChIP Grade(AB181544)

Anti-GATA1 antibody [EPR17362] - ChIP Grade(AB181544)

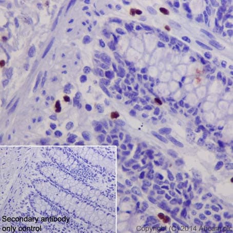
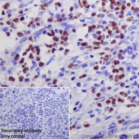
Knockout Tested Rabbit Recombinant Monoclonal GATA1 antibody. Suitable for IP, ChIP, WB, IHC-P and reacts with Human samples. Cited in 9 publications.
Specifications
Shipped At Conditions Blue Ice
Appropriate Long term Storage Conditions Store at -20°C.
Clonality Monoclonal
Applications ChIP, IHC-P, IP, WB
Species Reactivity Human, Mouse
Isotype IgG