JavaScript is disabled in your browser. Please enable JavaScript to view this website.

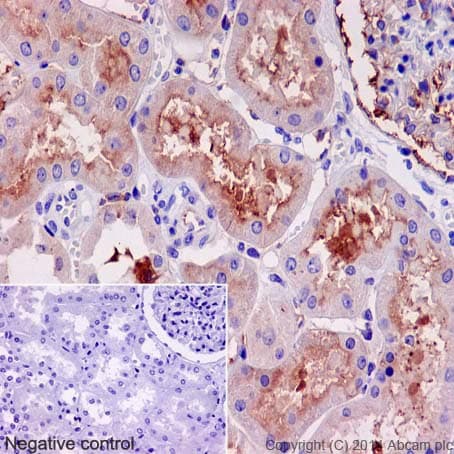
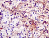
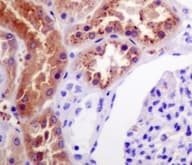
Anti-Klotho antibody [EPR6856](AB181373)

$undefined

Anti-Klotho antibody [EPR6856](AB181373)

Anti-Klotho antibody [EPR6856](AB181373)

Anti-Klotho antibody [EPR6856](AB181373)

Anti-Klotho antibody [EPR6856](AB181373)

Anti-Klotho antibody [EPR6856](AB181373)

Anti-Klotho antibody [EPR6856](AB181373)

Rabbit Recombinant Monoclonal Klotho antibody. Suitable for IHC-P, WB and reacts with Human, Mouse samples. Cited in 38 publications.
Specifications
Shipped At Conditions Blue Ice
Appropriate Long term Storage Conditions Store at -20°C.
Clonality Monoclonal
Applications ICC/IF, IHC-P, WB
Species Reactivity Human, Mouse
Isotype IgG