JavaScript is disabled in your browser. Please enable JavaScript to view this website.

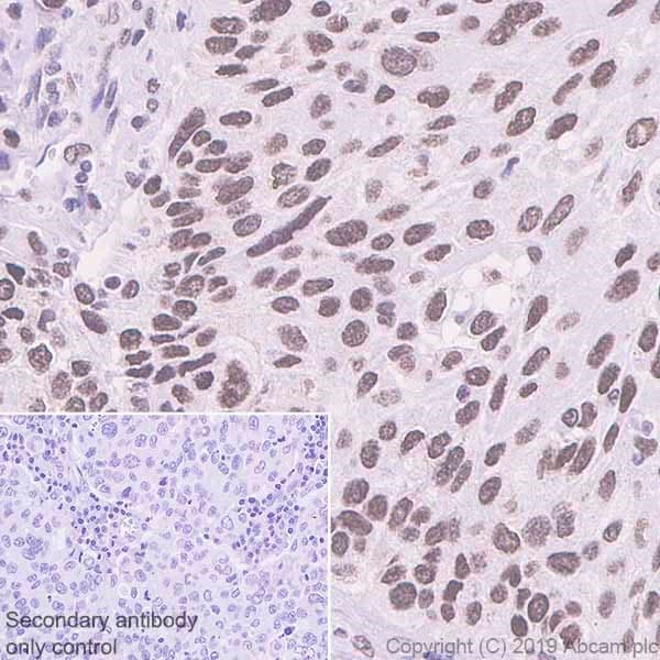
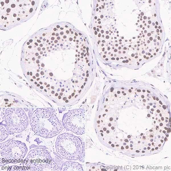
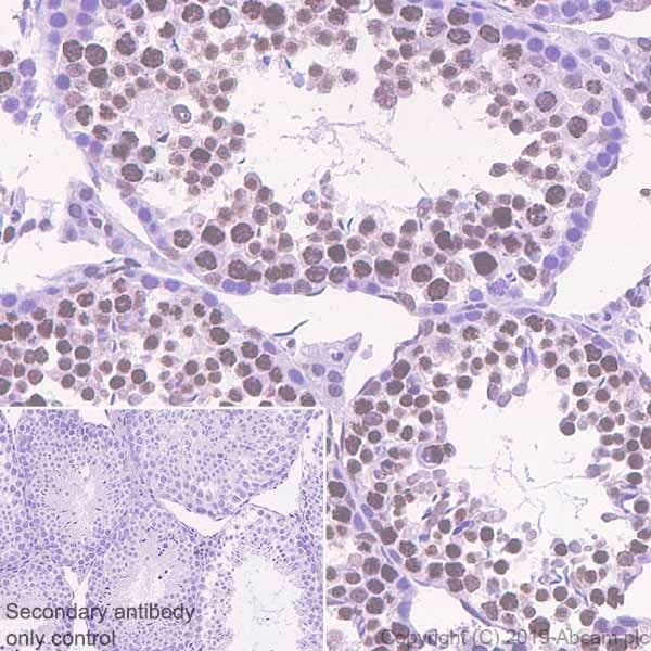
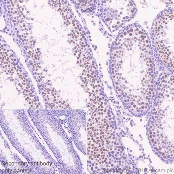
Anti-BRD1/BRL antibody [EPR12960](AB181060)

$undefined

Anti-BRD1/BRL antibody [EPR12960](AB181060)

Anti-BRD1/BRL antibody [EPR12960](AB181060)

Anti-BRD1/BRL antibody [EPR12960](AB181060)

Anti-BRD1/BRL antibody [EPR12960](AB181060)

Anti-BRD1/BRL antibody [EPR12960](AB181060)

Anti-BRD1/BRL antibody [EPR12960](AB181060)

Anti-BRD1/BRL antibody [EPR12960](AB181060)

Rabbit Recombinant Monoclonal BRD1/BRL antibody. Suitable for IP, WB, IHC-P and reacts with Mouse, Human, Rat samples. Cited in 2 publications.
Specifications
Shipped At Conditions Blue Ice
Appropriate Long term Storage Conditions Store at -20°C.
Clonality Monoclonal
Applications ICC/IF, IHC-P, IP, WB
Species Reactivity Human, Mouse, Rat
Isotype IgG