JavaScript is disabled in your browser. Please enable JavaScript to view this website.

Anti-Choline Acetyltransferase antibody [EPR13024(B)](AB181023)

$undefined

Anti-Choline Acetyltransferase antibody [EPR13024(B)](AB181023)

Anti-Choline Acetyltransferase antibody [EPR13024(B)](AB181023)

Anti-Choline Acetyltransferase antibody [EPR13024(B)](AB181023)

Anti-Choline Acetyltransferase antibody [EPR13024(B)](AB181023)

Anti-Choline Acetyltransferase antibody [EPR13024(B)](AB181023)

Anti-Choline Acetyltransferase antibody [EPR13024(B)](AB181023)

Anti-Choline Acetyltransferase antibody [EPR13024(B)](AB181023)

Anti-Choline Acetyltransferase antibody [EPR13024(B)](AB181023)

Anti-Choline Acetyltransferase antibody [EPR13024(B)](AB181023)

Anti-Choline Acetyltransferase antibody [EPR13024(B)](AB181023)

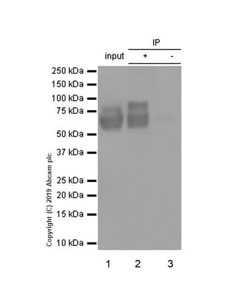
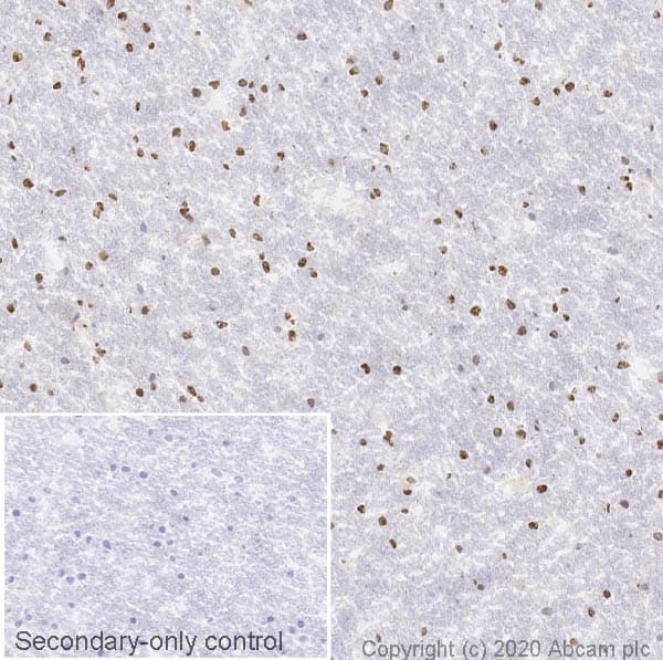
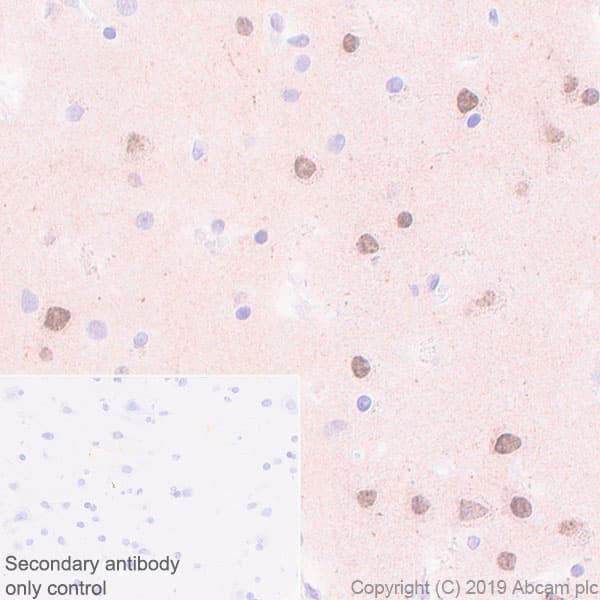
Anti-Choline Acetyltransferase antibody [EPR13024(B)] ab181023 is a rabbit monoclonal antibody that is used in Choline Acetyltransferase western blotting, IHC, immunofluorescence and flow cytometry. Suitable for human, mouse and rat samples.

- Recombinant format for unrivaled batch-batch consistency: no need for same-lot requests
- Validated on the Leica BOND™ RX automated IHC staining platform for Rabbit IHC
- Antibody clone EPR13024(B) is cited in over 40 publications
- One antibody for all your Choline Acetyltransferase staining, use in Choline Acetyltransferase western blotting, IHC, immunofluorescence and flow cytometry

New 20 ul size available
Specifications
Shipped At Conditions Blue Ice
Appropriate Long term Storage Conditions Store at -20°C.
Clonality Monoclonal
Applications Flow Cyt (Intra), ICC/IF, IHC-Fr, IHC-P, IP, WB
Species Reactivity Human, Mouse, Rat
Isotype IgG