JavaScript is disabled in your browser. Please enable JavaScript to view this website.

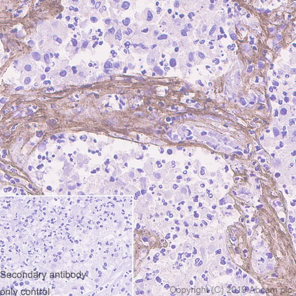
Anti-Collagen VI alpha 2 antibody [EPR7889(N)](AB180855)

$undefined

Collagen Vi Alpha 2 Antibody Epr7889n Ab180855  Immunohistochemistry Formalin Pfa Fixed Paraffin Embedded Sections Img180056

Collagen Vi Alpha 2 Antibody Epr7889n Ab180855  Western Blot Img168288

Rabbit Recombinant Monoclonal CO6A2 antibody. Suitable for IHC-P, WB and reacts with Human samples. Cited in 3 publications.
Specifications
Shipped At Conditions Blue Ice
Appropriate Long term Storage Conditions Store at -20°C.
Clonality Monoclonal
Applications ICC/IF, IHC-P, IP, WB
Species Reactivity Human
Isotype IgG